Kompaktlexikon der Biologie: Schweißdrüsen
Schweißdrüsen, Glandulae sudoriparae, Glandulae sudoriferae, nur bei Säugern ausgebildete Hautdrüsen, welche sowohl Duftstoffe, als auch Sekrete, die der Temperaturregulation (Verdunstungswärme) und Exkretion (Harnstoff, NaCl, KCl) dienen, abgeben (schwitzen). Je nach Funktion und Form unterscheidet man grundsätzlich zwei Typen von S., die so genannten Stoff- und Duftdrüsen mit apokriner Sekretion (Drüsen) und die nur bei Primaten, vor allem beim Menschen, zusätzlich vorkommenden ekkrinen S. Die apokrinen S. stehen i.d.R. in enger Verbindung mit Haarbälgen; sie zeichnen sich durch weitlumige alveoläre oder verzweigt tubuläre Drüsenendstücke aus, die korbartig von einem Geflecht von Myoepithelzellen umsponnen sind (Speicherdrüsen mit diskontinuierlicher Sekretauspressung auf nervösen Reiz). Neben einer Exkretionsfunktion dienen ihre dickflüssigen, protein- und lipidreichen Sekrete vor allem als Sexuallockstoffe (z.B. Duftdrüsen der Achselhöhlen, der Brustwarzen- und Genitalregion), der Brutpflege (z.B. Milchleiste) sowie der Reviermarkierung und als Wehrsekrete (z.B. Stinkdrüsen beim Stinktier). Die ekkrinen S. der Primaten und vornehmlich des Menschen bestehen aus aufgeknäuelten, stets unverzweigten, englumigen Drüsentubuli, die ohne Beziehung zu Haaren stets durch Schweißporen auf der freien Epidermisoberfläche münden. Ihr dünnflüssig wässriges Sekret (Schweiß) dient vor allem der Temperaturregulation; auf nervösen Reiz hin wird es kontinuierlich produziert und abgegeben. (Haut) ( vgl. Abb. )

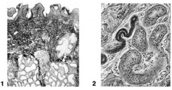
Schweißdrüsen:1 apokrine Schweißdrüse aus der Achselhöhle des Menschen (Duftdrüse); 2 ekkrine Schweißdrüse der Fingerbeere, Ausschnitt aus den Drüsentubuli
Wenn Sie inhaltliche Anmerkungen zu diesem Artikel haben, können Sie die Redaktion per E-Mail informieren. Wir lesen Ihre Zuschrift, bitten jedoch um Verständnis, dass wir nicht jede beantworten können.