Lexikon der Biologie: coated vesicles
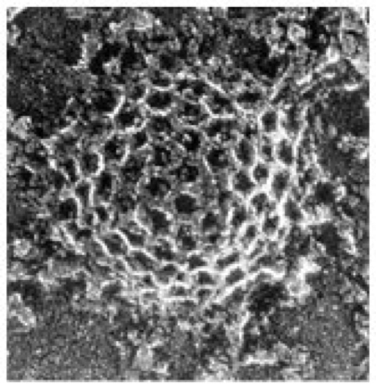
coated vesicles, 1) Clathrin-coated vesicles, intrazelluläre Partikel von 50–250 nm Durchmesser mit charakteristischer, borstenähnlicher Proteinhülle (engl. coat), in der das Protein Clathrin (relative Molekülmasse 650 000) die Hauptkomponente darstellt. Coated vesicles bilden sich aus den coated pits ( vgl. Abb. ) durch Einstülpung der Plasma-Membran während der durch spezifische Rezeptoren induzierten Endocytose von Makromolekülen oder größeren Komplexen. Die coated pits ( vgl. Abb. ) sind spezielle Bereiche der Plasmamembran, die an der dem Plasma zugekehrten Seite ebenfalls die für coated vesicles charakteristische borstenförmige Proteinschicht aufweisen. Kurz nach ihrer Entstehung verlieren die coated vesicles ihre Proteinhülle. Ein ATP-abhängiges Protein, die uncoating ATPase, entfernt Clathrin von den Vesikeln. Die Clathrin uncoating ATPase ist ein cytoplasmatisches Protein, das zu den molekularen Chaperonen der Hsp70-Familie zählt (Polypeptidketten bindende Proteine). Nach Entfernung der Clathrin-Hülle fusionieren die Vesikel mit anderen intrazellulären Vesikeln und schließlich mit den primären Lysosomen. In diesem früher als CURL (compartment of uncoupling of receptor and ligand) bezeichneten Kompartiment kommt es zur Freisetzung der endocytierten Liganden von ihren Rezeptoren. Clathrin-umhüllte Vesikel entstehen außerdem an der trans-Seite des Golgi-Apparats; sie sind am vesikulären Transport von Substanzen zwischen dem Golgi-Apparat, Lysosomen und anderen Organellen beteiligt. Lysosomale Proteine werden z. B. vom Mannose-6-phosphat-Rezeptor im trans-Bereich des Golgi-Apparats gebunden, der Rezeptor selbst assoziiert an Strukturen der Clathrin-Hülle und vermittelt so die Trennung lysosomaler Proteine von Proteinen mit anderen Zielorten. Bevor die Vesikel mit der lysosomalen Membran fusionieren und ihren Inhalt freisetzen können, muß, wie bei der Endocytose, zunächst die Clathrin-Hülle entfernt werden. Freie Clathrin-Proteine werden an die Plasmamembran sowie die trans-Golgi-Membranen zurückgebracht, um die rezeptorvermittelte Endocytose sowie den Transport vom Golgi-Apparat zu Lysosomen aufrechtzuerhalten. Virusinfektion. 2) COP-coated vesicles (COP = coat protein), intrazelluläre Vesikel, deren Hülle nicht aus Clathrin besteht, sondern aus anderen Proteinen, welche die Vesikelmembran weniger strukturiert umgeben. Mit COP-Proteinen umhüllte Vesikel vermitteln Transportvorgänge zwischen dem endoplasmatischen Reticulum (ER) und dem Golgi-Apparat, zwischen den einzelnen Golgi-Zisternen sowie vom Golgi-Apparat zur Plasmamembran. Dabei werden zwei Formen von Vesikelhüllen unterschieden. Die eine (COPI) setzt sich aus dem kleinen GTP-bindenden Protein (G-Protein) ARF und dem sog. Coatomer, einem aus 7 Untereinheiten bestehenden Komplex mit der relativen Molekülmasse von 700 000, zusammen. COPI vermittelt nicht nur den Transport vom ER zum Golgi-Apparat, sondern auch den retrograden Transport vom Golgi-Apparat zum ER. Dies ist von Bedeutung zum Zurückführen von Proteinen, die bei Transportvorgängen aus dem ER entwichen sind; entsprechende Proteine sind u. a. durch die Aminosäureabfolge KDEL gekennzeichnet. COPII besteht aus dem GTP-bindenden Protein Sar1p, einem Proteinkomplex mit den Untereinheiten Sec13p und Sec31p, und einem zweiten Komplex mit den Untereinheiten Sec23p und Sec24p. Im Gegensatz zu COPI ist COPII ausschließlich an der Vesikelbildung am ER beteiligt. Sowohl COPI als auch COPII erkennen zwar spezifische Sequenzmotive der Proteine, die in den von ihnen umschlossenen Vesikeln transportiert werden, insgesamt jedoch scheint der Transport weniger spezifisch zu verlaufen, als dies bei Transportvorgängen mit Beteiligung der Clathrin-coated vesicles der Fall ist. Vor dem Andocken an die Zielmembran erfolgt die Auflösung der COP-Hülle, ausgelöst durch die Hydrolyse von GTP an den assoziierten G-Proteinen. Dies macht das von der Donormembran stammende Protein v-SNARE zugänglich, das dann mit dem als t-SNARE bezeichneten Akzeptorkomplex in der Zielmembran interagieren kann. Adaptine, Adaptorproteine, Clathrin-assembly-Partikel, Exportproteinsynthese, Golgi-Apparat.
M.B.


Wenn Sie inhaltliche Anmerkungen zu diesem Artikel haben, können Sie die Redaktion per E-Mail informieren. Wir lesen Ihre Zuschrift, bitten jedoch um Verständnis, dass wir nicht jede beantworten können.