Direkt zum Inhalt

Lexikon der Biologie: Mycetocyten

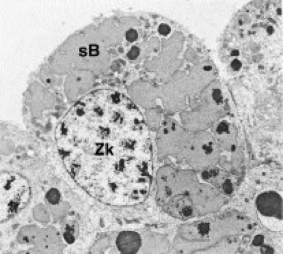
Mycetocyten [von *myceto- , griech. kytos = Höhlung, Zelle], Myzetocyten, Körperzellen (vor allem bei Insekten), die in ihrem CytoplasmaBakterien oder hefeartige Pilze als Endosymbionten (Endosymbiose) beherbergen ( vgl. Abb. ). Enthalten die Mycetocyten symbiontische Bakterien, so spricht man auch von Bakteriocyten. Mycetocyten können z.B. aus Zellen des Darmepithels oder aus solchen des Fettkörpers (bei Insekten) durch Besiedlung mit Endosymbionten hervorgehen. Häufig (vor allem bei Pflanzensaftsaugern) differenzieren sie sich bereits während der frühen Embryonalentwicklung und fügen sich noch während der Embryogenese zu einem eigenen Organ (Mycetome) zusammen. Leuchtsymbiose.



Mycetocyten

Mycetocyt aus dem Symbiontenorgan (Mycetome) einer Zikade. sB symbiontische Bakterien, Zk Zellkern

  • Die Autoren
Redaktion

Rolf Sauermost (Projektleiter)
Doris Freudig (Redakteurin)

Erweiterte Redaktion

Dr. Michael Bonk (Assistenz)
Dr. Andreas Sendtko (Assistenz)
Dr. Helmut Genaust (Etymologische Bearbeitung)
Dr. Claudia Gack (Bildtafelredaktion)

Grafik:

Hermann Bausch
Dr. Michael Bonk (EDV)
Wolfgang Hanns
Laura C. Hartmann (EDV)
Professor Dr. Rüdiger Hartmann (EDV)
Klaus Hemmann
Manfred Himmler
Rudolf Kempf (EDV)
Martin Lay (EDV)
Rolf Sauermost (EDV)
Dr. Richard Schmid
Hanns Strub
Melanie Waigand-Brauner (EDV)

CD-ROM-Ausgabe:

Doris Freudig (Redaktion und Konzeption)
Richard Zinken (Beratung)

Berater

Prof. Dr. Arno Bogenrieder (Botanik)
Prof. Dr. Klaus-Günter Collatz (Zoologie)
Prof. Dr. Hans Kössel (†) (Biochemie, Molekularbiologie)
Prof. Dr. Uwe Maier (Biochemie, Molekularbiologie)
Prof. Dr. Günther Osche (Zoologie)
Prof. Dr. Georg Schön (Mikrobiologie)

Autoren

[abc] [def] [ghi] [jkl] [mno] [pqr] [stuv] [wxyz]

Anhäuser, Marcus (M.A.)
Arnheim, Dr. Katharina (K.A.)
Becker-Follmann, Dr. Johannes (J.B.-F.)
Bensel, Dr. Joachim (J.Be.)
Bergfeld (†), Dr. Rainer (R.B.)
Berthold, Prof. Dr. Peter (P.B.)
Bogenrieder, Prof. Dr. Arno (A.B.)
Bohrmann, PD Dr. Johannes (J.B.)
Bonk, Dr. Michael (M.B.)
Born, Prof. Dr. Jan (J.Bo.)
Braun, Andreas (A.Br.)
Bürger, Prof. Dr. Renate (R.Bü.)
Cassada, Dr. Randall (R.C.)
Collatz, Prof. Dr. Klaus-Günter (K.-G.C.)
Culmsee, Dr. Carsten (C.C.)
Drews, Dr. Martina (M.D.)
Drossé, Inke (I.D.)
Duell-Pfaff, Dr. Nixe (N.D.)
Duffner, Dr. Klaus (K.D.)
Eibl-Eibesfeldt, Prof. Dr. Irenäus (I.E.)
Eisenhaber, Dr. Frank (F.E.)
Emschermann, Dr. Peter (P.E.)
Engelbrecht, Beate (B.E.)
Engeser, PD Dr. Theo (T.E.)
Eurich, Dr. Christian (C.E.)
Ewig, Bettina (B.Ew.)
Fässler, Dr. Peter (P.F.)
Fehrenbach, Dr. Heinz (H.F.)
Fix, Dr. Michael (M.F.)
Flemming, Alexandra (A.F.)
Franzen, Dr. Jens Lorenz (J.F.)
Freudig, Doris (D.F.)
Gack, Dr. Claudia (C.G.)
Gallenmüller, Dr. Friederike (F.G.)
Ganter, Sabine (S.G.)
Gärtig, Susanne (S.Gä.)
Gärtner, PD Dr. Wolfgang (W.G.)
Gassen, Prof. Dr. Hans-Günter
Geinitz, Christian (Ch.G.)
Genth, Dr. Harald (H.G.)
Gläser, Dr. Birgitta (B.G.)
Götting, Prof. Dr. Klaus-Jürgen (K.-J.G.)
Grasser, Dr. habil. Klaus (K.G.)
Grieß, Dr. Eike (E.G.)
Grüttner, Dr. Astrid (A.G.)
Häbe, Martina (M.Hä.)
Haken, Prof. Dr. Hermann
Hanser, Dr. Hartwig (H.Ha.)
Harder, Deane Lee (D.Ha.)
Hartmann, Prof. Dr. Rüdiger (R.H.)
Hassenstein, Prof. Dr. Bernhard (B.H.)
Haug-Schnabel, PD Dr. Gabriele (G.H.-S.)
Hemminger, Dr. habil. Hansjörg (H.H.)
Herbstritt, Dr. Lydia (L.H.)
Hobom, Dr. Barbara (B.Ho.)
Hoffrichter, Dr. Odwin (O.H.)
Hohl, Dr. Michael (M.H.)
Hoos, Katrin (K.H.)
Horn, Dagmar (D.H.)
Horn, Prof. Dr. Eberhard (E.H.)
Huber, Christoph (Ch.H.)
Huber, Dr. Gerhard (G.H.)
Huber, Prof. Dr. Robert
Hug, Dr. Agnes M. (A.H.)
Illerhaus, Dr. Jürgen (J.I.)
Illes, Prof. Dr. Peter (P.I.)
Illing, Prof. Dr. Robert-Benjamin (R.B.I.)
Irmer, Juliette (J.Ir.)
Jaekel, Dr. Karsten
Jäger, Dr. Rudolf
Jahn, Dr. Ilse
Jahn, Prof. Dr. Theo (T.J.)
Jendritzky, Prof. Dr. Gerd (G.J.)
Jendrsczok, Dr. Christine (Ch.J.)
Jerecic, Renate (R.J.)
Jordan, Dr. Elke (E.J.)
Just, Dr. Lothar (L.J.)
Just, Margit (M.J.)
Kary, Michael (M.K.)
Kaspar, Dr. Robert
Kattmann, Prof. Dr. Ulrich (U.K.)
Kindt, Silvan (S.Ki.)
Kirchner, Prof. Dr. Wolfgang (W.K.)
Kirkilionis, Dr. Evelin (E.K.)
Kislinger, Claudia (C.K.)
Klein-Hollerbach, Dr. Richard (R.K.)
Klonk, Dr. Sabine (S.Kl.)
Kluge, Prof. Dr. Friedrich (F.K.)
König, Dr. Susanne (S.Kö.)
Körner, Dr. Helge (H.Kör.)
Kössel (†), Prof. Dr. Hans (H.K.)
Kühnle, Ralph (R.Kü.)
Kuss (†), Prof. Dr. Siegfried (S.K.)
Kyrieleis, Armin (A.K.)
Lahrtz, Stephanie (S.L.)
Lamparski, Prof. Dr. Franz (F.L.)
Landgraf, Dr. Uta (U.L.)
Lange, Prof. Dr. Herbert (H.L.)
Lange, Jörg
Langer, Dr. Bernd (B.La.)
Larbolette, Dr. Oliver (O.L.)
Laurien-Kehnen, Dr. Claudia (C.L.)
Lay, Dr. Martin (M.L.)
Lechner-Ssymank, Brigitte (B.Le.)
Leinberger, Annette (A.L.)
Leven, Prof. Franz-Josef (F.J.L.)
Liedvogel, Prof. Dr. Bodo (B.L.)
Littke, Dr. habil. Walter (W.L.)
Loher, Prof. Dr. Werner (W.Lo.)
Lützenkirchen, Dr. Günter (G.L.)
Mack, Dr. Frank (F.M.)
Mahner, Dr. Martin (M.Ma.)
Maier, PD Dr. Rainer (R.M.)
Maier, Prof. Dr. Uwe (U.M.)
Marksitzer, Dr. René (R.Ma.)
Markus, Prof. Dr. Mario (M.M.)
Martin, Dr. Stefan (S.Ma.)
Medicus, Dr. Gerhard (G.M.)
Mehler, Ludwig (L.M.)
Mehraein, Dr. Susan (S.Me.)
Meier, Kirstin (K.M.)
Meineke, Sigrid (S.M.)
Mohr, Prof. Dr. Hans (H.M.)
Mosbrugger, Prof. Dr. Volker (V.M.)
Mühlhäusler, Andrea (A.M.)
Müller, Dr. Ralph (R.Mü.)
Müller, Ulrich (U.Mü.)
Müller, Wolfgang Harry (W.H.M.)
Murmann-Kristen, Dr. Luise (L.Mu.)
Mutke, Jens (J.M.)
Narberhaus, Ingo (I.N.)
Neub, Dr. Martin (M.N.)
Neumann, Dr. Harald (H.Ne.)
Neumann, Prof. Dr. Herbert (H.N.)
Nick, PD Dr. Peter (P.N.)
Nörenberg, Prof. Dr. Wolfgang (W.N.)
Nübler-Jung, Prof. Dr. Katharina (K.N.)
Oehler, Prof. Dr. Jochen (J.Oe.)
Oelze, Prof. Dr. Jürgen (J.O.)
Olenik, Dr. Claudia (C.O.)
Osche, Prof. Dr. Günther (G.O.)
Panesar, Arne Raj
Panholzer, Bärbel (B.P.)
Paul, PD Dr. Andreas (A.P.)
Paulus, Prof. Dr. Hannes (H.P.)
Pfaff, Dr. Winfried (W.P.)
Pickenhain, Prof. Dr. Lothar (L.P.)
Probst, Dr. Oliver (O.P.)
Ramstetter, Dr. Elisabeth (E.R.)
Ravati, Alexander (A.R.)
Rehfeld, Dr. Klaus (K.Re.)
Reiner, Dr. Susann Annette (S.R.)
Riede, Dr. habil. Klaus (K.R.)
Riegraf, Dr. Wolfgang (W.R.)
Riemann, Prof. Dr. Dieter
Roth, Prof. Dr. Gerhard
Rübsamen-Waigmann, Prof. Dr. Helga
Sachße (†), Dr. Hanns (H.S.)
Sander, Prof. Dr. Klaus (K.S.)
Sauer, Prof. Dr. Peter (P.S.)
Sauermost, Elisabeth (E.Sa.)
Sauermost, Rolf (R.S.)
Schaller, Prof. Dr. Friedrich
Schaub, Prof. Dr. Günter A. (G.Sb.)
Schickinger, Dr. Jürgen (J.S.)
Schindler, Dr. Franz (F.S.)
Schindler, Dr. Thomas (T.S.)
Schley, Yvonne (Y.S.)
Schling-Brodersen, Dr. Uschi
Schmeller, Dr. Dirk (D.S.)
Schmitt, Prof. Dr. Michael (M.S.)
Schmuck, Dr. Thomas (T.Schm.)
Scholtyssek, Christine (Ch.S.)
Schön, Prof. Dr. Georg (G.S.)
Schönwiese, Prof. Dr. Christian-Dietrich (C.-D.S.)
Schwarz, PD Dr. Elisabeth (E.S.)
Seibt, Dr. Uta
Sendtko, Dr. Andreas (A.Se.)
Sitte, Prof. Dr. Peter
Spatz, Prof. Dr. Hanns-Christof (H.-C.S.)
Speck, Prof. Dr. Thomas (T.Sp.)
Ssymank, Dr. Axel (A.S.)
Starck, PD Dr. Matthias (M.St.)
Steffny, Herbert (H.St.)
Sternberg, Dr. Klaus (K.St.)
Stöckli, Dr. Esther (E.St.)
Streit, Prof. Dr. Bruno (B.St.)
Strittmatter, PD Dr. Günter (G.St.)
Stürzel, Dr. Frank (F.St.)
Sudhaus, Prof. Dr. Walter (W.S.)
Tewes, Prof. Dr. Uwe
Theopold, Dr. Ulrich (U.T.)
Uhl, Dr. Gabriele (G.U.)
Unsicker, Prof. Dr. Klaus (K.U.)
Vaas, Rüdiger (R.V.)
Vogt, Prof. Dr. Joachim (J.V.)
Vollmer, Prof. Dr. Dr. Gerhard (G.V.)
Wagner, Prof. Dr. Edgar (E.W.)
Wagner, Eva-Maria
Wagner, Thomas (T.W.)
Wandtner, Dr. Reinhard (R.Wa.)
Warnke-Grüttner, Dr. Raimund (R.W.)
Weber, Dr. Manfred (M.W.)
Wegener, Dr. Dorothee (D.W.)
Weth, Dr. Robert (R.We.)
Weyand, Anne (A.W.)
Weygoldt, Prof. Dr. Peter (P.W.)
Wicht, PD Dr. Helmut (H.Wi.)
Wickler, Prof. Dr. Wolfgang
Wild, Dr. Rupert (R.Wi.)
Wilker, Lars (L.W.)
Wilmanns, Prof. Dr. Otti
Wilps, Dr. Hans (H.W.)
Winkler-Oswatitsch, Dr. Ruthild (R.W.-O.)
Wirth, Dr. Ulrich (U.W.)
Wirth, Prof. Dr. Volkmar (V.W.)
Wolf, Dr. Matthias (M.Wo.)
Wuketits, Prof. Dr. Franz M. (F.W.)
Wülker, Prof. Dr. Wolfgang (W.W.)
Zähringer, Dr. Harald (H.Z.)
Zeltz, Dr. Patric (P.Z.)
Ziegler, Prof. Dr. Hubert
Ziegler, Dr. Reinhard (R.Z.)
Zimmermann, Prof. Dr. Manfred
Zissler, Dr. Dieter (D.Z.)
Zöller, Thomas (T.Z.)
Zompro, Dr. Oliver (O.Z.)

Schreiben Sie uns!

Wenn Sie inhaltliche Anmerkungen zu diesem Artikel haben, können Sie die Redaktion per E-Mail informieren. Wir lesen Ihre Zuschrift, bitten jedoch um Verständnis, dass wir nicht jede beantworten können.

Partnerinhalte

Bitte erlauben Sie Javascript, um die volle Funktionalität von Spektrum.de zu erhalten.