Lexikon der Biologie: Schilddrüse
Schilddrüse, Glandula thyreoidea, Glandula thyroidea, Thyreoidea, bei allen Wirbeltieren ausgebildete endokrine Drüse, die beim Menschen (größte Hormondrüse), etwa in der Form und Größe eines Querbinders, im unteren Halsbereich (Hals) liegt ( ü vgl. Abb. 1 ). Ursprünglich aus einer exokrinen Drüse, der Hypobranchialrinne der frühen Chordatiere hervorgegangen, besteht sie aus zahlreichen mit Speichersekret (Kolloid) gefüllten Drüsenfollikeln oder Alveolen (alveoläre Drüse), die keine Ausführgänge besitzen und, in lockeres Bindegewebe eingebettet, von einem dichten Netz von Blutkapillaren umsponnen sind. Ihre Sekrete (Enkrete), das Triiodthyronin und Tetraiodthyronin (Thyroxin), stimulieren die Zell-Atmung und erhöhen so den Grundstoffwechsel (Grundumsatz, Energieumsatz), fördern die Proteinsynthese (Translation) und den Abbau von Kohlenhydraten (Kohlenhydratstoffwechsel). Außerdem fördert Thyroxin zusammen mit dem Wachstumshormon (Somatotropin) bei Kindern und auch bei vielen Jungtieren das körperliche Wachstum. In den Schilddrüsenfollikeln ( ü vgl. Abb. 2 ) liegen diese Schilddrüsenhormone als Speicherform an ein globuläres Protein (Thyreoglobulin) gebunden vor, werden auf hormonale Signale (thyreotropes Hormon der Hypophyse; Thyreotropin) hin freigesetzt und über das Follikel-Epithel in die Blutbahn abgegeben. – Schilddrüsengewebe ist zur aktiven Aufnahme von Iodid aus dem Blut/Extrazellulärraum befähigt (bis zu 100fache Anreicherung durch den Natrium-Iod-Symporter). Dieses wird durch eine Peroxidase H2O2-abhängig zu elementarem Iod oxidiert und dient der Synthese der Schilddrüsenhormone. Unterfunktion der Schilddrüse (Hypothyreose) führt beim Erwachsenen je nach Genese und Grad des Defekts zur Verlangsamung aller Stoffwechselvorgänge, oft verbunden mit der Bildung eines Kropfes (Iodmangel-Unterfunktion) und teigigem Aussehen der Haut (Myxödem). Bei Kleinkindern kommt es zur schwerwiegenden körperlichen und geistigen Retardierung (Kretinismus). Bei einer Überfunktion der Schilddrüse (Hyperthyreose) ist der Grundumsatz gesteigert, die Patienten erscheinen übererregt, gelegentlich kommt es bei starker Hyperthyreose zum Hervorquellen der Augäpfel (Exophthalmus), selten zur Kropfbildung. Häufig können bei Schilddrüsenüberfunktionen Autoantikörper nachgewiesen werden. Diese Autoimmunkrankheit wird Morbus Basedow (Basedowsche Krankheit) genannt. – Stammesgeschichtlich und ontogenetisch geht die Schilddrüse aus dem ventralen Abschnitt des Kiemendarms hervor, einer drüsigen Wimpernrinne (Endostyl), die bereits bei den Wirbeltiervorfahren, den Manteltieren, und beim Lanzettfischchen einen iodhaltigen Schleim produziert. Bereits bei den Rundmäulern faltet sie sich vom Endostyl ab und nimmt den Charakter einer eigenständigen Drüse an. Der Schilddrüse beidseits und dorsal angelagert finden sich zahlreiche Anteile einer weiteren selbständigen Hormondrüse, der Beischilddrüse oder Nebenschilddrüse (Epithelkörperchen), bei manchen Tieren (Haien, Knochenfischen, Amphibien und Reptilien) auch Ultimobranchialkörper, deren Hormon (Parathormon) den Calciumhaushalt (Calcium) reguliert. 3,5-Diiodtyrosin, Drüsen (Abb.), Hormondrüsen (Abb.), Hormone (Abb.), Horsley (V.A.H.), Iodinationshemmer, Iodisationshemmer, Kendall (E.C.), Kocher (E.T.), Melatonin, Metamorphose, Temperaturregulation, Thyreostatika, Tyrosin; Chordatiere , Mensch I .

Schilddrüse
Abb. 1 Die Schilddrüse des Menschen (Frontalansicht) besteht aus 2 ovalen Lappen, die beiderseits von Luftröhre und Kehlkopf liegen und durch eine Brücke (Isthmus) verbunden sind, die einen Fortsatz haben kann, der zum Zungenbein zieht (Lobus pyramidalis).

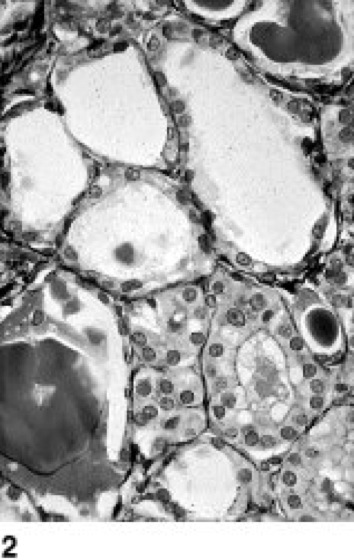
Schilddrüse
Abb. 2 mikroskopische Aufnahme von Schilddrüsenfollikeln, teils mit Kolloid (Thyreoglobulin) gefüllt. Is Isthmus, Ke Kehlkopf, lL linker Lappen, Lp Lobus pyramidalis, Lu Luftröhre, rL rechter Lappen, Zb Zungenbein
Wenn Sie inhaltliche Anmerkungen zu diesem Artikel haben, können Sie die Redaktion per E-Mail informieren. Wir lesen Ihre Zuschrift, bitten jedoch um Verständnis, dass wir nicht jede beantworten können.