Direkt zum Inhalt

Lexikon der Biologie: Versilberungsfärbung

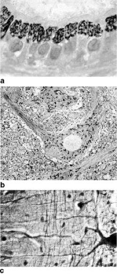
Versilberungsfärbung, in der Cytologie und Histologie, vor allem der Neurohistologie, häufig angewandte Färbemethode zur lichtmikroskopischen Darstellung zellulärer Membran- und Fibrillenstrukturen an der Grenze der lichtmikroskopischen Sichtbarkeit (Zell-Membran, Golgi-Apparat, Mitochondrien, Tonofibrillen und Neurofibrillen, Geißeln, Cilien und Bakteriengeißeln), ebenso auch extrazellulärer Faserstrukturen, wie kollagener Fibrillen (kollagene Fasern) und reticulärer (= argyrophiler) Fasern (Gitterfasern), wie auch von Nervenzellen und Gliazellen ( ä vgl. Abb. ) und ihrer Fortsätze mit all ihren Verzweigungen. Hierzu werden entweder die zuvor fixierten (mikroskopische Präparationstechniken) Gewebeproben oder die fertigen Mikrotomschnitte (Mikrotom) nach unterschiedlicher Vorbehandlung – je nach gewünschtem Ergebnis – in Silbernitrat-, Silber-Diamminkomplex- oder Silberproteinat-Lösungen inkubiert. Das Resultat sind schwarze bis schwarzbraune Niederschläge metallischer Silbergranula an den zu färbenden Strukturen infolge einer Reduktion der Silberverbindungen vornehmlich durch reaktionsfähige Aldehydgruppen (Aldehyde) von Kohlenhydraten oder SH-Gruppen in Proteinen. Durch Vorbehandlung des Materials mit starken Oxidantien, wie Periodaten, kann die Anzahl solcher Gruppen vor allem in Kohlenhydraten noch erhöht werden (KH-Nachweis durch Versilberung). Prinzipiell sind alle Zellstrukturen auf diese Weise mehr oder weniger stark versilberbar. Durch die Wahl der Inkubationsdauer (Inkubation), der Materialvorbehandlung, der Inkubationstemperatur und des pH-Werts lassen sich selektive Anfärbungen bestimmter Strukturen erzielen. – Versilberungsfärbungen wurden erstmals 1873 von C. Golgi rein empirisch entwickelt (Entdeckung des Golgi-Apparats). Golgi-Färbung.



Versilberungsfärbung

a
Epithelzellen aus dem Nebenhoden, Golgi-Apparat versilbert; b motorische Nervenzelle, Golgi-Felder und Neurofibrillen (links im Axon) versilbert; c Purkinje-Zellen (aus dem Kleinhirn) mit Ausläufern, versilbert.

  • Die Autoren
Redaktion

Rolf Sauermost (Projektleiter)
Doris Freudig (Redakteurin)

Erweiterte Redaktion

Dr. Michael Bonk (Assistenz)
Dr. Andreas Sendtko (Assistenz)
Dr. Helmut Genaust (Etymologische Bearbeitung)
Dr. Claudia Gack (Bildtafelredaktion)

Grafik:

Hermann Bausch
Dr. Michael Bonk (EDV)
Wolfgang Hanns
Laura C. Hartmann (EDV)
Professor Dr. Rüdiger Hartmann (EDV)
Klaus Hemmann
Manfred Himmler
Rudolf Kempf (EDV)
Martin Lay (EDV)
Rolf Sauermost (EDV)
Dr. Richard Schmid
Hanns Strub
Melanie Waigand-Brauner (EDV)

CD-ROM-Ausgabe:

Doris Freudig (Redaktion und Konzeption)
Richard Zinken (Beratung)

Berater

Prof. Dr. Arno Bogenrieder (Botanik)
Prof. Dr. Klaus-Günter Collatz (Zoologie)
Prof. Dr. Hans Kössel (†) (Biochemie, Molekularbiologie)
Prof. Dr. Uwe Maier (Biochemie, Molekularbiologie)
Prof. Dr. Günther Osche (Zoologie)
Prof. Dr. Georg Schön (Mikrobiologie)

Autoren

[abc] [def] [ghi] [jkl] [mno] [pqr] [stuv] [wxyz]

Anhäuser, Marcus (M.A.)
Arnheim, Dr. Katharina (K.A.)
Becker-Follmann, Dr. Johannes (J.B.-F.)
Bensel, Dr. Joachim (J.Be.)
Bergfeld (†), Dr. Rainer (R.B.)
Berthold, Prof. Dr. Peter (P.B.)
Bogenrieder, Prof. Dr. Arno (A.B.)
Bohrmann, PD Dr. Johannes (J.B.)
Bonk, Dr. Michael (M.B.)
Born, Prof. Dr. Jan (J.Bo.)
Braun, Andreas (A.Br.)
Bürger, Prof. Dr. Renate (R.Bü.)
Cassada, Dr. Randall (R.C.)
Collatz, Prof. Dr. Klaus-Günter (K.-G.C.)
Culmsee, Dr. Carsten (C.C.)
Drews, Dr. Martina (M.D.)
Drossé, Inke (I.D.)
Duell-Pfaff, Dr. Nixe (N.D.)
Duffner, Dr. Klaus (K.D.)
Eibl-Eibesfeldt, Prof. Dr. Irenäus (I.E.)
Eisenhaber, Dr. Frank (F.E.)
Emschermann, Dr. Peter (P.E.)
Engelbrecht, Beate (B.E.)
Engeser, PD Dr. Theo (T.E.)
Eurich, Dr. Christian (C.E.)
Ewig, Bettina (B.Ew.)
Fässler, Dr. Peter (P.F.)
Fehrenbach, Dr. Heinz (H.F.)
Fix, Dr. Michael (M.F.)
Flemming, Alexandra (A.F.)
Franzen, Dr. Jens Lorenz (J.F.)
Freudig, Doris (D.F.)
Gack, Dr. Claudia (C.G.)
Gallenmüller, Dr. Friederike (F.G.)
Ganter, Sabine (S.G.)
Gärtig, Susanne (S.Gä.)
Gärtner, PD Dr. Wolfgang (W.G.)
Gassen, Prof. Dr. Hans-Günter
Geinitz, Christian (Ch.G.)
Genth, Dr. Harald (H.G.)
Gläser, Dr. Birgitta (B.G.)
Götting, Prof. Dr. Klaus-Jürgen (K.-J.G.)
Grasser, Dr. habil. Klaus (K.G.)
Grieß, Dr. Eike (E.G.)
Grüttner, Dr. Astrid (A.G.)
Häbe, Martina (M.Hä.)
Haken, Prof. Dr. Hermann
Hanser, Dr. Hartwig (H.Ha.)
Harder, Deane Lee (D.Ha.)
Hartmann, Prof. Dr. Rüdiger (R.H.)
Hassenstein, Prof. Dr. Bernhard (B.H.)
Haug-Schnabel, PD Dr. Gabriele (G.H.-S.)
Hemminger, Dr. habil. Hansjörg (H.H.)
Herbstritt, Dr. Lydia (L.H.)
Hobom, Dr. Barbara (B.Ho.)
Hoffrichter, Dr. Odwin (O.H.)
Hohl, Dr. Michael (M.H.)
Hoos, Katrin (K.H.)
Horn, Dagmar (D.H.)
Horn, Prof. Dr. Eberhard (E.H.)
Huber, Christoph (Ch.H.)
Huber, Dr. Gerhard (G.H.)
Huber, Prof. Dr. Robert
Hug, Dr. Agnes M. (A.H.)
Illerhaus, Dr. Jürgen (J.I.)
Illes, Prof. Dr. Peter (P.I.)
Illing, Prof. Dr. Robert-Benjamin (R.B.I.)
Irmer, Juliette (J.Ir.)
Jaekel, Dr. Karsten
Jäger, Dr. Rudolf
Jahn, Dr. Ilse
Jahn, Prof. Dr. Theo (T.J.)
Jendritzky, Prof. Dr. Gerd (G.J.)
Jendrsczok, Dr. Christine (Ch.J.)
Jerecic, Renate (R.J.)
Jordan, Dr. Elke (E.J.)
Just, Dr. Lothar (L.J.)
Just, Margit (M.J.)
Kary, Michael (M.K.)
Kaspar, Dr. Robert
Kattmann, Prof. Dr. Ulrich (U.K.)
Kindt, Silvan (S.Ki.)
Kirchner, Prof. Dr. Wolfgang (W.K.)
Kirkilionis, Dr. Evelin (E.K.)
Kislinger, Claudia (C.K.)
Klein-Hollerbach, Dr. Richard (R.K.)
Klonk, Dr. Sabine (S.Kl.)
Kluge, Prof. Dr. Friedrich (F.K.)
König, Dr. Susanne (S.Kö.)
Körner, Dr. Helge (H.Kör.)
Kössel (†), Prof. Dr. Hans (H.K.)
Kühnle, Ralph (R.Kü.)
Kuss (†), Prof. Dr. Siegfried (S.K.)
Kyrieleis, Armin (A.K.)
Lahrtz, Stephanie (S.L.)
Lamparski, Prof. Dr. Franz (F.L.)
Landgraf, Dr. Uta (U.L.)
Lange, Prof. Dr. Herbert (H.L.)
Lange, Jörg
Langer, Dr. Bernd (B.La.)
Larbolette, Dr. Oliver (O.L.)
Laurien-Kehnen, Dr. Claudia (C.L.)
Lay, Dr. Martin (M.L.)
Lechner-Ssymank, Brigitte (B.Le.)
Leinberger, Annette (A.L.)
Leven, Prof. Franz-Josef (F.J.L.)
Liedvogel, Prof. Dr. Bodo (B.L.)
Littke, Dr. habil. Walter (W.L.)
Loher, Prof. Dr. Werner (W.Lo.)
Lützenkirchen, Dr. Günter (G.L.)
Mack, Dr. Frank (F.M.)
Mahner, Dr. Martin (M.Ma.)
Maier, PD Dr. Rainer (R.M.)
Maier, Prof. Dr. Uwe (U.M.)
Marksitzer, Dr. René (R.Ma.)
Markus, Prof. Dr. Mario (M.M.)
Martin, Dr. Stefan (S.Ma.)
Medicus, Dr. Gerhard (G.M.)
Mehler, Ludwig (L.M.)
Mehraein, Dr. Susan (S.Me.)
Meier, Kirstin (K.M.)
Meineke, Sigrid (S.M.)
Mohr, Prof. Dr. Hans (H.M.)
Mosbrugger, Prof. Dr. Volker (V.M.)
Mühlhäusler, Andrea (A.M.)
Müller, Dr. Ralph (R.Mü.)
Müller, Ulrich (U.Mü.)
Müller, Wolfgang Harry (W.H.M.)
Murmann-Kristen, Dr. Luise (L.Mu.)
Mutke, Jens (J.M.)
Narberhaus, Ingo (I.N.)
Neub, Dr. Martin (M.N.)
Neumann, Dr. Harald (H.Ne.)
Neumann, Prof. Dr. Herbert (H.N.)
Nick, PD Dr. Peter (P.N.)
Nörenberg, Prof. Dr. Wolfgang (W.N.)
Nübler-Jung, Prof. Dr. Katharina (K.N.)
Oehler, Prof. Dr. Jochen (J.Oe.)
Oelze, Prof. Dr. Jürgen (J.O.)
Olenik, Dr. Claudia (C.O.)
Osche, Prof. Dr. Günther (G.O.)
Panesar, Arne Raj
Panholzer, Bärbel (B.P.)
Paul, PD Dr. Andreas (A.P.)
Paulus, Prof. Dr. Hannes (H.P.)
Pfaff, Dr. Winfried (W.P.)
Pickenhain, Prof. Dr. Lothar (L.P.)
Probst, Dr. Oliver (O.P.)
Ramstetter, Dr. Elisabeth (E.R.)
Ravati, Alexander (A.R.)
Rehfeld, Dr. Klaus (K.Re.)
Reiner, Dr. Susann Annette (S.R.)
Riede, Dr. habil. Klaus (K.R.)
Riegraf, Dr. Wolfgang (W.R.)
Riemann, Prof. Dr. Dieter
Roth, Prof. Dr. Gerhard
Rübsamen-Waigmann, Prof. Dr. Helga
Sachße (†), Dr. Hanns (H.S.)
Sander, Prof. Dr. Klaus (K.S.)
Sauer, Prof. Dr. Peter (P.S.)
Sauermost, Elisabeth (E.Sa.)
Sauermost, Rolf (R.S.)
Schaller, Prof. Dr. Friedrich
Schaub, Prof. Dr. Günter A. (G.Sb.)
Schickinger, Dr. Jürgen (J.S.)
Schindler, Dr. Franz (F.S.)
Schindler, Dr. Thomas (T.S.)
Schley, Yvonne (Y.S.)
Schling-Brodersen, Dr. Uschi
Schmeller, Dr. Dirk (D.S.)
Schmitt, Prof. Dr. Michael (M.S.)
Schmuck, Dr. Thomas (T.Schm.)
Scholtyssek, Christine (Ch.S.)
Schön, Prof. Dr. Georg (G.S.)
Schönwiese, Prof. Dr. Christian-Dietrich (C.-D.S.)
Schwarz, PD Dr. Elisabeth (E.S.)
Seibt, Dr. Uta
Sendtko, Dr. Andreas (A.Se.)
Sitte, Prof. Dr. Peter
Spatz, Prof. Dr. Hanns-Christof (H.-C.S.)
Speck, Prof. Dr. Thomas (T.Sp.)
Ssymank, Dr. Axel (A.S.)
Starck, PD Dr. Matthias (M.St.)
Steffny, Herbert (H.St.)
Sternberg, Dr. Klaus (K.St.)
Stöckli, Dr. Esther (E.St.)
Streit, Prof. Dr. Bruno (B.St.)
Strittmatter, PD Dr. Günter (G.St.)
Stürzel, Dr. Frank (F.St.)
Sudhaus, Prof. Dr. Walter (W.S.)
Tewes, Prof. Dr. Uwe
Theopold, Dr. Ulrich (U.T.)
Uhl, Dr. Gabriele (G.U.)
Unsicker, Prof. Dr. Klaus (K.U.)
Vaas, Rüdiger (R.V.)
Vogt, Prof. Dr. Joachim (J.V.)
Vollmer, Prof. Dr. Dr. Gerhard (G.V.)
Wagner, Prof. Dr. Edgar (E.W.)
Wagner, Eva-Maria
Wagner, Thomas (T.W.)
Wandtner, Dr. Reinhard (R.Wa.)
Warnke-Grüttner, Dr. Raimund (R.W.)
Weber, Dr. Manfred (M.W.)
Wegener, Dr. Dorothee (D.W.)
Weth, Dr. Robert (R.We.)
Weyand, Anne (A.W.)
Weygoldt, Prof. Dr. Peter (P.W.)
Wicht, PD Dr. Helmut (H.Wi.)
Wickler, Prof. Dr. Wolfgang
Wild, Dr. Rupert (R.Wi.)
Wilker, Lars (L.W.)
Wilmanns, Prof. Dr. Otti
Wilps, Dr. Hans (H.W.)
Winkler-Oswatitsch, Dr. Ruthild (R.W.-O.)
Wirth, Dr. Ulrich (U.W.)
Wirth, Prof. Dr. Volkmar (V.W.)
Wolf, Dr. Matthias (M.Wo.)
Wuketits, Prof. Dr. Franz M. (F.W.)
Wülker, Prof. Dr. Wolfgang (W.W.)
Zähringer, Dr. Harald (H.Z.)
Zeltz, Dr. Patric (P.Z.)
Ziegler, Prof. Dr. Hubert
Ziegler, Dr. Reinhard (R.Z.)
Zimmermann, Prof. Dr. Manfred
Zissler, Dr. Dieter (D.Z.)
Zöller, Thomas (T.Z.)
Zompro, Dr. Oliver (O.Z.)

Schreiben Sie uns!

Wenn Sie inhaltliche Anmerkungen zu diesem Artikel haben, können Sie die Redaktion per E-Mail informieren. Wir lesen Ihre Zuschrift, bitten jedoch um Verständnis, dass wir nicht jede beantworten können.

Partnerinhalte

Bitte erlauben Sie Javascript, um die volle Funktionalität von Spektrum.de zu erhalten.