Direkt zum Inhalt

Lexikon der Geographie: Symbiose

Symbiose, Lebensgemeinschaft verschiedener Arten zum gegenseitigen Nutzen. Der Nutzen ist nicht immer gleich verteilt, sodass sich ein fließender Übergang zwischen Parasitismus und Mutualismus ergibt. Typische Symbiosen mit Beteiligung von Pflanzen sind: a) Symbiosen zwischen Algen und Tieren, ökologisch interessant etwa bei der Symbiose von Dinoflagellaten mit riffbildenden Korallen. Hier zeigt sich ein sehr temperaturempfindliches Gleichgewicht an der Grenze des Temperaturmaximums. Bei Temperaturfluktuationen oder langfristigen Temperaturerhöhungen der Meere verlieren die Korallen ihre Symbiosepartner und bleichen aus. b) Flechten als Symbiose zwischen Pilz (Mycobiont) und Alge, seltener Blaualge (Phycobiont) (Abb. 1 und Abb. 2 ). c) Mykorrhiza als Symbiose zwischen höherer Pflanze und Pilz, wobei der Pilz im Wurzelbereich angesiedelt ist. Die Pflanze erhält durch das ausgedehnte Pilzmyzelgeflecht eine bessere Wasser- und Mineralstoffversorgung, der Pilz wird mit Kohlenhydraten versorgt. Die Wurzelenden und die Zellen der Wurzelrinde werden von einem dichten Myzel umsponnen (Ektomykorrhiza, z.B. bei Nadelgehölzen) oder die Pilzhyphen dringen in die Zellen der Wurzelrinde ein (Endomykorrhiza; bei Orchideen, Ericaceen). Bei der VA-Mykorrhiza mit in den Rindenzellen buschartig verzweigten Hyphen sind Zygomyceten beteiligt, während die beiden anderen Formen von Ascomyceten und Basidiomyceten gebildet werden. Praktisch alle Sprosspflanzen besitzen eine Mykorrhiza. d) Symbiosen, die zu einer besseren Stickstoffversorgung des Pflanzenpartners führen durch eine Assoziation mit luftstickstofffixierenden Prokaryoten. Hierzu zählen die Rhizobiensymbiose (Wurzelknöllchen) der Leguminosen, die Aktinomycetensymbiose der Erle oder des Sanddorns und die Blaualgensymbiosen des Wasserfarns Azolla, der südamerikanischen Staude Gunnera oder der Hornmoose. Insbesondere dieser Typ hat eine große wirtschaftliche Bedeutung durch den Einfluss auf den Stickstoffhaushalt der Biotope, was landwirtschaftlich beim Fruchtwechsel mit Leguminosen als Zwischenfrucht oder bei der Düngung von Reisfeldern mit Azolla ausgenützt wird (Jahreseinträge von fixiertem Stickstoff von 50-400 Kg N2/ha). Die ökologische Bedeutung der Symbiose mit Stickstofffixierern liegt neben dem allgemeinen Beitrag zum Stickstoffkreislauf, der auch anderen Pflanzen zugute kommt, auch darin, dass diese Pflanzen Rohböden, z.B. im Gebirge, oder Kiesbänke rasch als Pioniere besiedeln können.

MSe


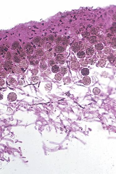
Symbiose 1: Symbiose 1: Querschnitt durch einen Flechtenthallus, Pilzhyphen oben (außen), darunter Algenzellen.

Symbiose 2: Symbiose 2: Bartflechten (Usnea) in einem Reinluftgebiet (nördlicher Schwarzwald)
  • Die Autoren

Redaktion:
Dipl.-Geogr. Christiane Martin (Leitung)
Dipl.-Geogr. Dorothee Bürkle
Dipl.-Geol. Manfred Eiblmaier

Fachkoordinatoren und Herausgeber:
Prof. Dr. Ernst Brunotte (Physische Geographie)
Prof. Dr. Hans Gebhardt (Humangeographie)
Prof. Dr. Manfred Meurer (Physische Geographie)
Prof. Dr. Peter Meusburger (Humangeographie)
Prof. Dr. Josef Nipper (Methodik)

Autorinnen und Autoren:
Prof. Dr. Patrick Armstrong, Perth (Australien) [PA]
Kurt Baldenhofer, Friedrichshafen [KB]
Prof. Dr. Yoram Bar-Gal, Haifa (Israel) [YBG]
Prof. Dr. Christoph Becker, Trier [CB]
Prof. Dr. Carl Beierkuhnlein, Rostock [CBe]
Prof. Dr. Jörg Bendix, Marburg [JB]
Dr. Markus Berger, Braunschweig [MB]
Prof. Dr. Helga Besler, Köln [HBe]
Prof. Dr. Hans Heinrich Blotevogel, Duisburg [HHB]
Dipl.-Geogr. Oliver Bödeker, Köln [OBö]
Prof. Dr. Hans Böhm, Bonn [HB]
Dr. Hans Jürgen Böhmer, München [HJB]
Dr. Thomas Breitbach, Köln [TB]
Dr. Heinz Peter Brogiato, Leipzig [HPB]
Prof. Dr. Ernst Brunotte, Köln [EB]
Dr. Olaf Bubenzer, Köln [OB]
Dipl.-Geogr. Dorothee Bürkle, Köln [DBü]
Prof. Dr. Detlef Busche, Würzburg [DB]
Dr. Tillmann Buttschardt, Karlsruhe [TBu]
Dr. Thomas Christiansen, Gießen [TC]
Dr. Martin Coy, Tübingen [MC]
Prof. Dr. Ulrich Deil, Freiburg [UD]
Prof. Dr. Jürgen Deiters, Osnabrück [JD]
Dr. Klaus Dodds, London [KD]
Prof. Dr. Heiner Dürr, Bochum [HD]
Dirk Dütemeyer, Essen [DD]
PD Dr. Rainer Duttmann, Hannover [RD]
Dipl.-Geogr. Susanne Eder, Basel [SE]
Dr. Jürgen Ehlers, Hamburg [JE]
Dipl.-Geol. Manfred Eiblmaier, Köln [ME]
Dr. Hajo Eicken, Fairbanks (USA) [HE]
Dr. Wolf-Dieter Erb, Gießen [WE]
Dr. Heinz-Hermann Essen, Hamburg [HHE]
Dr. Heinz-Hermann Essen, Hamburg [HHE]
Dr. Eberhard Fahrbach, Bremerhaven [EF]
Prof. Dr. Heinz Faßmann, Wien [HF]
Prof. Dr. Peter Felix-Henningsen, Gießen [PF]
Beate Feuchte, Berlin [BF]
Robert Fischer M.A., Frankfurt a.M. [RF]
Prof. Dr. Otto Fränzle, Kiel [OF]
Tim Freytag, Heidelberg [TM]
Dr. Heinz-W. Friese, Berlin [HWF]
Dr. Martina Fromhold-Eisebith, Seibersdorf [MFE]
Prof. Dr. Wolf Gaebe, Stuttgart [WG]
Dr. Werner Gamerith, Heidelberg [WGa]
Prof. Dr. Paul Gans, Mannheim [PG]
Prof. Dr. Hans Gebhardt, Heidelberg [HG]
Prof. Dr. Gerd Geyer, Würzburg [GG]
Prof. Dr. Rüdiger Glaser, Heidelberg [RGl]
Prof. Dr. Rainer Glawion, Freiburg i. Br. [RG]
Dr.-Ing. Konrad Großer, Leipzig [KG]
Mario Günter, Heidelberg [MG]
Prof. Dr. Wolfgang Haber, München [WHa]
Prof. Dr. Jürgen Hagedorn, Göttingen [JH]
Dr. Werner Arthur Hanagarth, Karlsruhe [WH]
Dr. Martin Hartenstein, Karlsruhe [MHa]
Prof. Dr. Ingrid Hemmer, Eichstädt [ICH]
Prof. Dr. Gerhard Henkel, Essen [GH]
Prof. Dr. Reinhard Henkel, Heidelberg [RH]
Dipl.-Geogr. Sven Henschel, Berlin [SH]
Prof. Dr. Bruno Hildenbrand, Jena [BH]
Dr. Hubert Höfer, Karlsruhe [HH]
Prof. Dr. Karl Hofius, Boppard [KHo]
Prof. Dr. Karl Hoheisel, Bonn [KH]
Prof. Dr. Hans Hopfinger, Eichstätt [HHo]
Michael Hoyler, Heidelberg [MH]
Dipl.-Geogr. Thorsten Hülsmann, Bonn [TH]
Ina Ihben, Köln [II]
Prof. Dr. Jucundus Jacobeit, Würzburg [JJ]
Dipl.-Geogr. Ingrid Jacobsen, Berlin [IJ]
Prof. Dr. Martin Jänicke, Berlin [MJ]
Dr. Jörg Janzen, Berlin [JJa]
PD Dr. Eckhard Jedicke, Bad Arolsen [EJ]
Dr. Hiltgund Jehle, Berlin [HJe]
Dr. Karin Jehn, Karlsruhe [KJ]
Prof. Dr. Hubert Job, München [HJo]
Dipl.-Geogr. Heike Jöns, Heidelberg [HJ]
Prof. Dr. Peter Jurczek, Jena [PJ]
Prof. Dr. Masahiro Kagami, Tokio [MK]
Prof. Dr. Andreas Kagermeier, Paderborn [AKa]
Dr. Daniela C. Kalthoff, Bonn [DCK]
Dr. Andrea Kampschulte, Basel [AKs]
Dr. Gerwin Kasperek, Gießen [GKa]
Prof. Dr. Dieter Kelletat, Essen [DK]
Prof. Dr. Franz-Josef Kemper, Berlin [FJK]
Farid El Kholi, Berlin [FE]
Dr. Günter Kirchberg, Speyer [GK]
Dr. Thomas Kistemann, Bonn [TK]
Prof. Dr. Dieter Klaus, Bonn [DKl]
Prof. Dr. Arno Kleber, Bayreuth [AK]
Prof. Dr. Hans-Jürgen Klink, Bochum [HJK]
Prof. Dr. Wolf Günther Koch [WK]
Dr. Franz Köhler, Gotha [FK]
Dipl.-Geogr. Bernhard Köppen, Chemnitz [BK]
Dipl.-Geogr. Kirsten Koop, Berlin [KK]
Prof. Dr. Christoph Kottmeier, Karlsruhe [CK]
Dr. Caroline Kramer, Heidelberg [CKr]
Dr. Klaus Kremling, Kiel [KKr]
Prof. Dr. Eberhard Kroß, Bochum [EKr]
Prof. Dr. Elmar Kulke, Berlin [EK]
Prof. Dr. Wilhelm Kuttler, Essen [WKu]
Dipl.-Geogr. Christian Langhagen-Rohrbach, Frankfurt a.M. [CLR]
Dr. Harald Leisch, Köln [HL]
Prof. Dr. Bärbel Leupolt, Hamburg [BL]
Prof. Dr. Hartmut Lichtenthaler, Karlsruhe [HLi]
Dipl.-Geogr.Christoph Mager, Heidelberg [CMa]
Dipl.-Geogr. Christiane Martin, Köln [CM]
Prof. Dr. Jörg Matschullat, Freiberg [JMt]
Prof. Dr. Alois Mayr, Leipzig [AMa]
Dipl.-Geogr. Heidi Megerle, Schlaitdorf [HM]
Dr. Andreas Megerle, Tübingen [AM]
Dipl.-Geogr. Astrid Mehmel, Bonn [AMe]
Prof. Dr. Jens Meincke, Hamburg [JM]
Dipl. Geogr. Klaus Mensing, Hamburg [KM]
Dipl.-Geogr. Klaus Mensing, Hamburg [KM]
Dipl.-Geogr. Rita Merckele, Berlin [RM]
Prof. Dr. Manfred Meurer, Karlsruhe [MM]
Prof. Dr. Peter Meusburger, Heidelberg [PM]
Prof. Dr. Georg Miehe, Marburg [GM]
Prof. Dr. Werner Mikus, Heidelberg [WM]
Prof. Dr. Thomas Mosimann, Hannover [TM]
Renate Müller, Berlin [RMü]
PD Dr. Hans-Nikolaus Müller, Luzern [HNM]
Prof. Dr. Detlef Müller-Mahn, Bayreuth [DM]
Prof. Dr. Heinz Musall, Gaiberg [HMu]
Prof. Dr. Frank Norbert Nagel, Hamburg [FNN]
Dipl.-Geogr. Martina Neuburger, Tübingen [MN]
Dipl.-Geogr. Peter Neumann, Münster [PN]
Prof. Dr. Jürgen Newig, Kiel [JNe]
Prof. Dr. Josef Nipper, Köln [JN]
Prof. Dr. Helmut Nuhn, Marburg [HN]
Dr. Ludwig Nutz, München [LN]
Prof. Dr. Jürgen Oßenbrügge, Hamburg [JO]
Dipl.-Geogr. Maren Ott, Frankfurt a.M. [MO]
Prof. Dr. Karl-Heinz Pfeffer, Tübingen [KP]
Dipl.-Geogr. Michael Plattner, Marburg [MP]
Dipl.-Geogr. Martin Pöhler, Tübingen [MaP]
Prof. Dr. Karl-Heinz Pörtge, Göttingen [KHP]
Prof. Dr. Jürgen Pohl, Bonn [JPo]
Prof. Dr. Ferenc Probáld, Budapest [FP]
PD Dr. Paul Reuber, Münster [PR]
Dipl.-Bibl. Sabine Richter, Bonn [SR]
Prof. Dr. Otto Richter, Braunschweig [OR]
Prof. Dr. Michael Richter, Erlangen [MR]
Prof. Dr. Gisbert Rinschede, Regensburg [GR]
Gerd Rothenwallner, Frankfurt a.M. [GRo]
Dr. Klaus Sachs, Heidelberg [KS]
Prof. Dr. Wolf-Dietrich Sahr, Curitiba (Brasilien) [WDS]
Dr. Heinz Sander, Köln [HS]
Dipl.-Geogr. Bruno Schelhaas, Leipzig [BSc]
Dipl.-Geogr. Jens Peter Scheller, Frankfurt a.M. [JPS]
Prof. Dr. Winfried Schenk, Tübingen [WS]
Dr. Arnold Scheuerbrandt, Heidelberg [AS]
Dipl.-Geogr. Heiko Schmid, Heidelberg [HSc]
Prof. Dr. Konrad Schmidt, Heidelberg [KoS]
Prof. Dr. Thomas Schmitt, Bochum [TSc]
PD Dr. Elisabeth Schmitt, Gießen [ES]
Prof. Dr. Jürgen Schmude, Regensburg [JSc]
Prof. Dr. Rita Schneider-Sliwa, Basel [RS]
Dr. Peter Schnell, Münster [PSch]
Dr. Thomas Scholten, Gießen [ThS]
Prof. Dr. Karl-Friedrich Schreiber, Münster [KFS]
Dipl.-Geogr. Thomas Schwan, Heidelberg [TS]
Prof. Dr. Jürgen Schweikart, Berlin [JüS]
Dr. Franz Schymik, Frankfurt a.M. [FS]
Prof. Dr. Peter Sedlacek, Jena [PS]
Prof. Dr. Günter Seeber, Hannover [GSe]
Prof. Dr. Martin Seger, Klagenfurt [MS]
Nicola Sekler, Tübingen [NSe]
Dr. Max Seyfried, Karlsruhe [MSe]
Christoph Spieker M.A., Bonn [CS]
Prof. Dr. Jürgen Spönemann, Bovenden [JS]
PD Dr. Barbara Sponholz, Würzburg [BS]
Prof. Dr. Albrecht Steinecke, Paderborn [ASte]
Prof. Dr. Wilhelm Steingrube, Greifswald [WSt]
Dr. Ingrid Stengel, Würzburg [IS]
Dipl.-Geogr. Anke Strüver, Nijmwegen [ASt]
Prof. Dr. Dietbert Thannheiser, Hamburg [DT]
Prof. Dr. Uwe Treter, Erlangen [UT]
Prof. Dr. Konrad Tyrakowski, Eichstätt [KT]
Alexander Vasudevan, MA, Vancouver [AV]
Martin Vogel, Tübingen [MV]
Prof. Dr. Joachim Vogt, Berlin [JVo]
Dr. Joachim Vossen, Regensburg [JV]
Dr. Ute Wardenga, Leipzig [UW]
Prof. Dr. Bernd Jürgen Warneken, Tübingen [BJW]
Dipl.-Geogr. Reinhold Weinmann, Heidelberg [RW]
Prof. Dr. Benno Werlen, Jena [BW]
Dr. Karin Wessel, Berlin [KWe]
Dr. Stefan Winkler, Trier [SW]
Prof. Dr. Klaus Wolf, Frankfurt a.M. [KW]
Dr. Volker Wrede, Krefeld [VW]

Grafik:
Mathias Niemeyer (Leitung)
Ulrike Lohoff-Erlenbach
Stephan Meyer

Schreiben Sie uns!

Wenn Sie inhaltliche Anmerkungen zu diesem Artikel haben, können Sie die Redaktion per E-Mail informieren. Wir lesen Ihre Zuschrift, bitten jedoch um Verständnis, dass wir nicht jede beantworten können.

Partnerinhalte

Bitte erlauben Sie Javascript, um die volle Funktionalität von Spektrum.de zu erhalten.