Lexikon der Neurowissenschaft: Golgi-Apparat
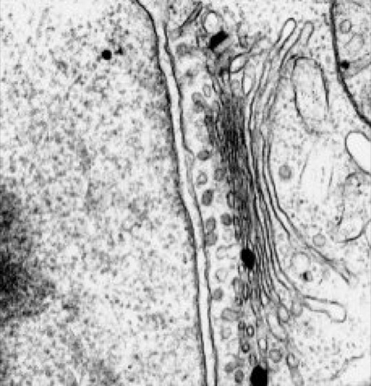
Golgi-Apparatm [benannt nach C. Golgi], EGolgi apparatus, ein aus Stapeln schüsselförmiger Zisternen bestehendes Membransystem eukaryotischer Zellen, das normalerweise in der Nähe des Zellkerns gelegen ist ( siehe Abb. ). Die einzelnen, etwa 10 bis 20 nm breiten Zisternen schnüren an ihren Rändern Vesikel(Golgi-Vesikel) unterschiedlicher Größe ab. In der Mehrzahl sind es kleinere Vesikel mit einem Durchmesser von ca. 50 nm, darunter auch coated vesicles (Endocytose), die wahrscheinlich für den Transport von Membranproteinen zwischen endoplasmatischem Reticulum und Golgi-Apparat verantwortlich sind. In auf Sekretion spezialisierten Zellen werden auch sehr große (Durchmesser 1000 nm) sekretorische Vesikel (auch sekretorische Granula oder Vakuolen genannt) von den Zisternen abgeschnürt. Auch in Nervenzellen ist der Golgi-Apparat sehr stark ausgeprägt. Zu den Funktionen des Golgi-Apparats zählen die Anreicherung und kovalente Modifikation von Makromolekülen sowie deren Abtransport zu ihrem Bestimmungsort. Den Golgi-Apparat passieren Exportproteine, die löslichen Proteine der Lysosomen und die Membranproteine der intrazellulären Membranen und der Plasmamembran. – Der Golgi-Apparat besitzt eine strukturelle Polarität: Die an das endoplasmatische Reticulum angrenzende Seite wird als proximale, cis- oder Bildungsseite bezeichnet, die Gegenseite, in sekretorischen Zellen meist direkt an der Plasmamembran lokalisiert, ist die distale, trans- oder Sekretionsseite. Bei der klassischen Golgi-Färbung (Golgi-Imprägnation) werden hauptsächlich die beiden äußersten Zisternen der proximalen Seite gefärbt.

Golgi-Apparat
Die einzelnen Stapel mit einem Durchmesser von ca. 1 μm werden als Dictyosom, Golgi-Körper oder Golgi-Feld bezeichnet. Das Bild zeigt Dictyosomen nahe der äußeren Kernhülle, von der sich Primärvesikel abschnüren.
Wenn Sie inhaltliche Anmerkungen zu diesem Artikel haben, können Sie die Redaktion per E-Mail informieren. Wir lesen Ihre Zuschrift, bitten jedoch um Verständnis, dass wir nicht jede beantworten können.