Lexikon der Neurowissenschaft: Synapsen
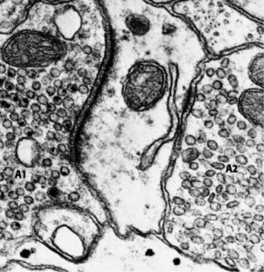
Synapsen [von griech. synapsis = Verbindung], E synapses, spezialisierte morphologische Kontaktstellen zwischen Nervenzellen bzw. zwischen Nervenzellen und muskulären und sekretorischen Effektorzellen ( siehe Tab. ). Im Durchschnitt bildet eine Nervenzelle etwa 1000 synaptische Kontakte aus und empfängt ihrerseits etwa 10000 Verbindungen. An Synapsen erfolgt entweder über die Ausschleusung von Signalstoffen (Neurotransmitter, synaptische Übertragung) eine Erregungsübertragung (chemische Synapse) oder über Poren (gap junctions) eine elektrische Kommunikation (elektrische Synapse). Unterschieden werden können bei chemischen Synapsen ( siehe Abb. 1 ) die präsynaptische Endigung mit synaptischen Vesikeln und einer präsynaptischen Membranspezialisierung (präsynaptische Membran), der synaptische Spalt und die postsynaptische Membranspezialisierung (postsynaptische Membran). Chemische Synapsen zwischen Nervenzellen sind am häufigsten zwischen Axonen (präsynaptisch) und Dendriten (postsynaptisch), können aber zwischen allen Abschnitten von Nervenzellen vorkommen. Axodendritische Synapsen können am Schaft oder am Dorn eines Dendriten lokalisiert sein. Mit zunehmender Entfernung einer Synapse vom Perikaryon der postsynaptischen Zelle wird ihre Effektivität geringer. In der präsynaptischen Endigung liegen zahlreiche kleine (Durchmesser ca. 50 nm) synaptische Vesikel, die kleine Moleküle wie Acetylcholin, Catecholamine und Aminosäuren als Neurotransmitter enthalten, und large dense core vesicles (LDV, Durchmesser ca. 100-150 nm), die Neuropeptide und Wachstumsfaktoren als Neuromodulatoren speichern. Durch Exocytose freigesetzte Signalmoleküle treffen nach Diffusion durch den ca. 20 nm breiten synaptischen Spalt auf die in der postsynaptischen Membran verankerten Transmitter-Rezeptoren. Neuromodulatoren wie Prostaglandine und die Gase NO (Stickoxid) und CO (Kohlenmonoxid) werden nicht durch Exocytose freigesetzt, sondern diffundieren durch die Zellmembran. Elektronenmikroskopisch kann man verschiedene Synapsentypen unterscheiden (Typ I-Synapsen =asymmetrische Synapsen: postsynaptische Verdichtung dicker als präsynaptische; Typ II-Synapsen = symmetrische Synapsen;siehe Abb. 2 ). An chemischen Synapsen führen ankommende Aktionspotentiale zur Öffnung von Calciumkanälen und Einstrom von Calcium, welches über Aktivierung verschiedener Proteine die Exocytose von synaptischen Vesikeln stimuliert. Die freigesetzten Neurotransmitter bzw. Neuromodulatoren binden an der postsynaptischen Membran an ihre spezifischen Rezeptoren, die entweder direkt oder indirekt (über G-Proteine) an Ionenkanäle gekoppelt sind und zur Hyperpolarisation bzw. Depolarisation der postsynaptischen Zelle führen. Diese postsynaptischen Potentiale können auf die nachgeschalteten Zellen aktivierend oder hemmend wirken. Im ersten Fall werden diese als excitatorische oder erregende postsynaptische Potentiale (EPSP), im zweiten als inhibitorische oder hemmende postsynaptische Potentiale (IPSP) bezeichnet. Eine Sonderform der Synapsen stellen die motorischen Endplatten dar. Die polare Anordnung von Prä- und Postsynapse ist Grundlage für die unidirektionale Übertragung an der chemischen Synapse. Ein wichtiges Merkmal der chemischen Synapse ist auch ihre Fähigkeit, die Signalstärke durch Variierung der Zahl freigesetzter synaptischer Vesikel modifizieren zu können, d.h., sie zeigen Plastizität (Plastizität im Nervensystem) und sind damit eine Grundlage für Lernen und Gedächtnis ( siehe Zusatzinfo ). Die für die Transmitterfreisetzung, -diffusion und -bindung benötigte Zeit erklärt die für chemische Synapsen typische Verzögerung der Erregungsübertragung von etwa 0,3-5 ms. Elektrische (= elektrotonische) Synapsen erlauben dagegen eine praktisch verzögerungsfreie Signalübertragung. Diese wird durch Bildung transzellulärer Poren (gap junctions) ermöglicht, die den Fluß von Ionen und kleinen Molekülen bis etwa 1 kDa in beide Richtungen erlauben und auch der metabolischen Kopplung dienen. Eine gap junction setzt sich aus zwei Hemikanälen (Connexonen) zusammen, die wiederum aus je 6 Connexinen bestehen. Connexine bilden eine Multigenfamilie und koppeln außer Neuronen auch Gliazellen untereinander. Ganze Neuronengruppen können auf diese Art durch elektrische Synapsen miteinander verbunden sein und eignen sich daher besonders zur Steuerung von stereotypen Verhaltensreaktionen (z.B. Mauthner-Neuron für die Schwanzschlagreaktion beim Goldfisch; motorische Neurone zur Innervation der Tintendrüse bei Aplysia).
Synapsen
Beispiele von Substanzen, die – vor allem an Nerv-Muskel-Präparaten – zur Erforschung synaptischer Übertragungsmechanismen eingesetzt werden:
Amphetamine
Atropin
Botulinustoxin
α-Bungarotoxin
Cocain
Coffein
Lobelin
Meskalin
Muscarin
Nicotin
Physostigmin
Pilocarpin
Reserpin
Tetrodotoxin
Tubocurarin (Curare)
Abb. 2: Typ I- und Typ II-Synapsen. Typ I ist meist erregend (z.B. glutamaterge Synapsen), Typ II hemmend (z.B. GABAerge Synapsen). Sie unterscheiden sich in verschiedenen morphologischen Parametern. Typ I-Synapsen befinden sich auf Dendritendornen oder -schäften, Typ II-Synapsen oft auf Perykaryen.
Synapsen
In den Gehirnen von hochgebildeten Personen findet man mehr Synapsen im präfrontalen Cortex, einer Region, die bei komplizierten Denkvorgängen benutzt wird. Ob jedoch eine anspruchsvolle geistige Tätigkeit für die größere Zahl an Synapsen, oder aber deren höhere Zahl für die gewählte Tätigkeit verantwortlich ist, kann noch nicht gesagt werden. Dagegen konnten im an der einfachen visuellen Wahrnehmung beteiligten Hinterhauptslappen keine signifikanten Unterschiede festgestellt werden.


Wenn Sie inhaltliche Anmerkungen zu diesem Artikel haben, können Sie die Redaktion per E-Mail informieren. Wir lesen Ihre Zuschrift, bitten jedoch um Verständnis, dass wir nicht jede beantworten können.