Lexikon der Optik: Gesichtsfeld
Gesichtsfeld, Gesamtheit aller Punkte im Außenraum, die bei unbewegtem Kopf und Primärstellung der Augen wahrgenommen werden können. Es sind monokulares und binokulares G. zu unterscheiden. Im gesamten G. sind verschiedene Funktionen des visuellen Systems zu lokalisieren. Hierzu zählen das räumliche Auflösungsvermögen, die Kontrastempfindlichkeit, das Farbensehen, das Bewegungssehen und die Lichtunterschiedsempfindlichkeit (LUE). Die Prüfung der letzteren (Abb.) ist in den meisten Fällen die Grundlage der Gesichtsfeldprüfung (Perimetrie). Die Ausdehnung des G. hängt von der Farbe des Teststimulus ab. Entsprechend der Verteilung der Zapfen in der Netzhaut ist bei Verwendung von roten oder grünen Testreizen die Ausdehnung geringer als im Falle blauer oder weißer Testreize. Anatomische Eigenschaften der Testperson wie z.B. die Lage des Auges in der Orbita, die Nase oder die Schädelknochen begrenzen das G. Bildfeld.

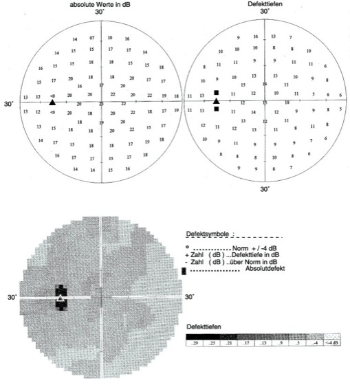
Gesichtsfeld: Gesichtsfeld am Beispiel einer Katarakt. a) Darstellung der gemessenen Lichtunterschiedsempfindlichkeiten, b) Abweichungen der gemessenen Werte von den jeweiligen altersentsprechenden Normalwerten (Defekttiefe), c) Graustufendarstellung (nach Lachenmayer und Kojentinsky, mit freundlicher Genehmigung der G. Rodenstock Instrumente GmbH).
Wenn Sie inhaltliche Anmerkungen zu diesem Artikel haben, können Sie die Redaktion per E-Mail informieren. Wir lesen Ihre Zuschrift, bitten jedoch um Verständnis, dass wir nicht jede beantworten können.