Arthrose: »Beschädigter Gelenkknorpel heilt kaum von selbst«

Unter Gelenkverschleiß leiden vor allem ältere Menschen. Aber auch junge kann es treffen, etwa nach Sportverletzungen. Woran man eine Arthrose erkennt und was man dagegen tun kann, erklärt der Orthopäde Tobias Renkawitz.
Herr Professor Renkawitz, was ist Arthrose?
Es ist die weltweit häufigste Gelenkerkrankung und vereinfacht ausgedrückt eine Verschleißerscheinung. Unsere Gelenke sind mit Knorpel ausgekleidet, und wenn diese Knorpelschicht dünner wird, Risse bekommt oder sogar ganz verschwindet, spricht man von Arthrose.
Wie kommt es dazu?
Unsere Gelenke bauen im Alter ab, und damit häufen sich Defekte und Verschleißerscheinungen. Das heißt aber nicht automatisch, dass jeder Mensch irgendwann Arthrose bekommt. Es gibt bekannte Risikofaktoren dafür, etwa Übergewicht. Auch wenn die Gelenke dauerhaft überlastet sind, beispielsweise durch bestimmte Berufe oder Sportarten, kann das Arthrose-Risiko erhöht sein. Zudem gibt es angeborene Fehlstellungen, von denen wir wissen, dass sie zum vorzeitigen Entstehen von Arthrose führen. Unfälle mit Gelenkverletzungen, bei denen die Knorpelschicht beschädigt wird, spielen ebenfalls eine Rolle. Auch genetische Faktoren haben einen Einfluss. Arthrose ist nicht direkt vererbbar, doch genetische Veranlagungen können das Risiko erhöhen. Zudem sind Frauen generell häufiger betroffen als Männer.
Der Mediziner ist Professor, Ordinarius und Ärztlicher Direktor der Klinik für Orthopädie der Universität Regensburg. Er ist Spezialist für gelenkerhaltende und gelenkersetzende Therapieverfahren an Knie und Hüfte. Zu seinen Schwerpunkten gehören minimalinvasive und computerassistierte Methoden des Gelenkersatzes.
Was unterscheidet die Arthrose von anderen Gelenkerkrankungen wie Rheuma oder Arthritis?
Im angloamerikanischen Sprachraum spricht man bei der Arthrose passenderweise von Osteoarthritis. Die Endsilbe -itis bedeutet, dass man es mit entzündlichen Vorgängen zu tun hat; bereits aus der Terminologie wird also klar, dass jeder Gelenkverschleiß in irgendeiner Weise mit einer Gelenkentzündung verbunden ist. Beim klassischen Rheuma, der sogenannten rheumatoiden Arthritis, besteht primär eine entzündliche Autoimmunerkrankung, die die Gelenkinnenhaut befällt. Es kommt oft schon in jungen Jahren zu einer chronischen Gelenkentzündung, die in der Folge dann den Gelenkknorpel schädigt. Bei der Arthrose ist die Entzündung demgegenüber ein Begleitsymptom und nicht die anfängliche Hauptursache.
Ob klassisches Rheuma oder Arthrose: Warum ist es schlimm, wenn der Gelenkknorpel Schaden nimmt?
Beschädigter Gelenkknorpel heilt kaum von selbst. Das liegt vor allem daran, dass er nicht durchblutet wird, keinen Lymphabfluss hat und auch keinen Anschluss ans Nervensystem. Noch vor über Hundert Jahren dachte man, dass zerstörter Gelenkknorpel gar nicht mehr heilbar ist. Das ist heute glücklicherweise anders, denn die moderne orthopädische Chirurgie hat Verfahren entwickelt, mit denen wir in bestimmten Fällen Knorpelschäden reparieren können.
Indem man Knorpelzellen ins Kniegelenk verpflanzt?
Unter anderem, ja. An der Klinik für Orthopädie der Universität Regensburg blicken wir auf eine jahrzehntelange Erfahrung mit Knorpelzelltransplantationen zurück. Die Methode eignet sich vor allem für jüngere Patienten, zum Beispiel nach Sportverletzungen. Denn eine Knorpelzelltransplantation funktioniert nur dann, wenn die Knorpelschicht im Gelenk bloß stellenweise geschädigt, aber rundherum noch intakt ist. Der transplantierte Knorpel muss sich in eine vitale Gewebeumgebung einfügen und mit ihr verbinden. Die klassische Arthrose im höheren Lebensalter ist aber flächig, betrifft also große Bereiche der Knorpelschicht. Oft ist dann eine Knorpelzelltransplantation nicht mehr möglich.
Wie viele Menschen in Deutschland haben Arthrose?
Laut der Gesundheitsberichtserstattung des Robert Koch-Instituts sind rund 17 Prozent der Erwachsenen in der Bundesrepublik betroffen, also jede sechste Person. Zwei von fünf Erkrankten sind mehr als 80 Jahre alt. Es ist demnach eine Volkskrankheit der zweiten Lebenshälfte.
Entscheiden die Erbanlagen darüber, ob man Arthrose bekommt, oder eher der Lebensstil?
Meist ist es eine Kombination aus beidem. Wenn zum Beispiel eine Gelenkfehlstellung mit beruflich bedingter körperlicher Überlastung zusammenkommt, oder eine Hüftfehlbildung mit einer sehr gelenkfordernden Sportart, dann kann es zum vorzeitigen Gelenkverschleiß kommen. Dass Frauen öfter betroffen sind als Männer, zeigt, dass auch zusätzliche Faktoren wie der Hormonhaushalt und der Stoffwechsel eine Rolle spielen.
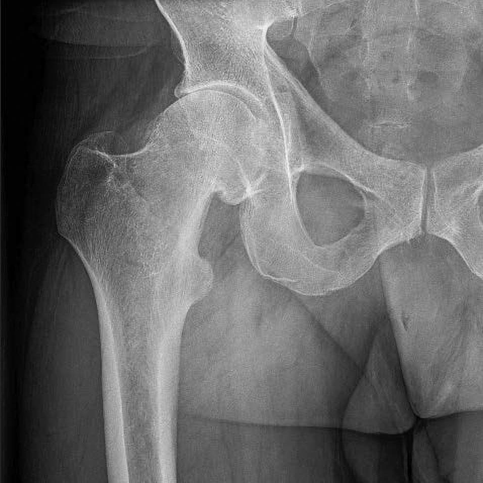
Die Röntgenaufnahme lässt erkennen, dass der Gelenkspalt deutlich verengt ist.
Übergewicht und Bewegungsmangel machen eine Arthrose wahrscheinlicher – warum?
Überlegen wir uns einmal, wie viele Schritte wir pro Tag machen, multiplizieren diese Zahl mit dem Körpergewicht, das beispielsweise auf unsere Kniegelenke wirkt, und rechnen das Ganze auf zehn Jahre oder mehr hoch. Dann kann man erahnen, warum zusätzliche Druckbelastung infolge von Übergewicht das Arthrose-Risiko erhöht. Zum anderen geht Übergewicht oft mit problematischen Ernährungsgewohnheiten einher. Wenn man beispielsweise sehr viele zuckerreiche Lebensmittel wie Softdrinks konsumiert, erweicht der Knorpel. Personen hingegen, die auch im Alter noch aktiv sind und selten an Arthrose leiden, ernähren sich tendenziell gesünder, etwa über die klassische mediterrane Kost. Weil unser Gelenkknorpel nicht durchblutet ist, kann er seine Nährstoffe nicht aus dem Blut beziehen. Stattdessen wird er maßgeblich von der Gelenkflüssigkeit ernährt, einer Art Schmiere im Gelenkspalt. Wie die sich zusammensetzt, das kann man über die Ernährung mitbeeinflussen.
Ist das der Grund, warum Bewegungsmangel schlecht ist? Weil dann der Gelenkknorpel nicht mehr geschmiert wird?
Richtig. Einseitige Ernährung, Übergewicht und Bewegungsmangel bilden zudem häufig gemeinsam eine negative Spirale. Würde man sich, überspitzt formuliert, überhaupt nicht mehr bewegen, dann würde der Knorpel irgendwann stark abgebaut. Das ist übrigens ein Problem, mit dem Astronauten in der Schwerelosigkeit zu kämpfen haben. Gelenkknorpel braucht Bewegung und mechanische Belastung. Deshalb ist Bewegungsmangel durchaus ein Faktor, der Arthrose entstehen lassen kann. Gleichwohl kann das Pendel auch in die andere Richtung ausschlagen. Bei einer angeborenen Fehlstellung oder wenn das Gelenk bereits vorgeschädigt ist, kann ein Zuviel an Bewegung wiederum den Verschleiß übermäßig beschleunigen und so das Arthrose-Risiko erhöhen.
Stimmt es, dass Arthrose immer mehr junge Menschen betrifft?
Arthrose ist nach wie vor im jüngeren Erwachsenenalter selten. Aber in meinem klinischen Alltag sehe ich schon, dass etwa mit einer Hinwendung zu Risiko- und Freizeitsportarten vermehrt Unfälle einhergehen, von denen die Gelenke betroffen sind. Und die können auch bei jüngeren Patienten zu Arthrose führen. Das ist durchaus ein relevantes Problem. Internationale Studien berichten, dass die Hälfte aller Menschen mit Arthrose jünger ist als 60 bis 65 Jahre. Die Forschungsergebnisse zeigen, dass die Erkrankung gerade bei diesen Patienten die Lebensqualität stark beeinflusst.
Nun nimmt der Anteil übergewichtiger Personen in Mitteleuropa deutlich zu, auch bei jungen Erwachsenen. Hat das Folgen für die Arthrose-Häufigkeit?
Wichtig ist hier wieder das gemeinsame Auftreten von Risikofaktoren, wenn beispielsweise junge, übergewichtige Personen eine angeborene Fehlstellung haben oder an den Folgen eines Unfalls oder einer Verletzung leiden. Sogenannte Achsfehlstellungen, wie stark ausgeprägte X- oder O-Beine, gehen mit einseitigen Gelenkbelastungen einher, und wenn diese durch Übergewicht noch verstärkt werden, kann das bei jungen Menschen zu einer vorzeitigen Arthrose führen.
Sind bei jüngeren Arthrose-Patienten andere Gelenke geschädigt als bei älteren?
Statistisch gesehen sind Knie, Hüfte, Schulter, Rücken sowie Finger- und Handgelenke bei der Arthrose am häufigsten betroffen. Bei speziellen Fehlstellungen auch die Sprung- und Fußgelenke. Sportverletzungen treten oft an Sprung- und Kniegelenken auf. Dort ist das Arthrose-Risiko bei jungen Menschen vergleichsweise erhöht. Rheumatologische Grunderkrankungen hingegen, deren Ursache eine chronische Gelenkentzündung ist, machen sich typischerweise zuerst in den kleinen Gelenken bemerkbar. Sehr häufig beginnt das in den endständigen Fingergelenken.
»Statistisch gesehen sind Knie, Hüfte, Schulter, Rücken sowie Finger- und Handgelenke bei der Arthrose am häufigsten betroffen«
Was kann man tun, um einer Arthrose vorzubeugen?
Sich gesund und ausgewogen ernähren, Übergewicht vermeiden, Sport treiben – aber möglichst ohne übermäßige Belastung der Gelenke. Vorteilhaft sind etwa Schwimmen, Radfahren oder Nordic Walking. Wenn jemand mit Übergewicht zu kämpfen hat, empfehle ich sehr gern Aquagymnastik. Der Auftrieb im Wasser verringert die Belastung der Gelenke und man kann gegen den Wasserwiderstand wunderbar trainieren. Bei gelenkfordernden Sportarten wie Fußball, Skifahren oder dem einen oder anderen Extremsport sollte man Verletzungen möglichst vermeiden und eine gesunde Balance aus Be- und Entlastung einhalten. Intensiv betriebene Laufsportarten bedürfen ebenfalls besonderer Aufmerksamkeit: Wende ich die richtige Technik an, habe ich die geeignete Ausrüstung, etwa den passenden Schuh für meinen Laufstil und den Untergrund? Wichtig ist zudem, sich bei Beschwerden rechtzeitig untersuchen zu lassen. Der Knorpelschaden selbst ist aufgrund der fehlenden Nervenanbindung nicht schmerzhaft, es sind eher die Begleitreaktionen des Gelenks, die sich bemerkbar machen. Bei jüngeren Patienten gehört zu einem Beratungsgespräch auch die Frage, welche Sportarten sich angesichts des Arthrose-Grades künftig noch empfehlen lassen.
Was empfehlen Sie Menschen wie mir, die überwiegend sitzende Berufe ausüben? Das ist ja vermutlich auch nicht so günstig für die Gelenke.
Ganz wichtig ist Abwechslung, also dass Sie nicht acht Stunden am Tag vor dem Monitor sitzen, sondern immer wieder aufstehen. Sie könnten zwischendurch im Stehen lesen und arbeiten, idealerweise an einem höhenverstellbaren Schreibtisch. Gut ist es, jede halbe oder drei viertel Stunde ein paar Schritte zu laufen – sei es in die Kaffeeküche oder in den Meetingraum für ein Arbeitstreffen. Einfache Rückenübungen, die kein Gerät erfordern, für die man sich nicht umziehen muss und die nur wenige Minuten dauern, lassen sich vielleicht ebenfalls in den Büroalltag einbauen. Natürlich sollte die Ergonomie am Arbeitsplatz stimmen: Steht der Monitor so, dass die Blickachse geradeaus und leicht nach unten geht? Bilden die Hüft- und Kniegelenke beim Sitzen einen 90-Grad-Winkel? Diese Grundlagen sollten sichergestellt sein.
Woran merkt man, dass man Arthrose hat?
Klassischerweise berichten die Patienten von Schmerzen, beginnend mit einem Belastungsschmerz. Nach längeren Wanderungen, beim Treppensteigen oder beim Heben schwerer Dinge, tun die Knie, die Hüfte oder die Schultern weh. Typisch für Arthrose ist ein Wellenverlauf: In manchen Phasen hat man den Eindruck, es wird schlimmer, dann wieder hat man keine Probleme. Die beschwerdefreien Intervalle werden aber immer kürzer, bis als Nächstes ein Ruheschmerz hinzu kommt. Man war beispielsweise am Vortag unterwegs, ruht sich nun zu Hause aus und merkt auf der Couch, dass die Hüfte gar nicht aufhört, weh zu tun. Die dritte Steigerungsstufe ist der Nachtschmerz. Patienten wachen dadurch nächtlich immer wieder auf und müssen ihre Position verändern oder vielleicht sogar ein Schmerzmittel nehmen. An dem Punkt ist der Alltag bereits deutlich beeinträchtigt. Die Betroffenen achten dann beispielsweise darauf, bei Städtereisen nicht mehr die dreistündige Sightseeingtour mitzumachen, sondern regelmäßig Sitzpausen einzulegen, und sind mehr oder weniger stark auf Schmerzmittel angewiesen.
An welchen klinischen Zeichen können Ärztinnen und Ärzte eine Arthrose sicher erkennen?
Manchmal geben mir Patienten ihre Röntgenbilder und fragen mich dann, ob sie operiert werden müssen. Unseren jungen Kolleginnen und Kollegen vermitteln wir schon zu Beginn ihrer Facharztausbildung einen wichtigen Satz: »Man operiert kein Röntgenbild.« Zuerst kommen das ausführliche Patientengespräch und die genaue ärztliche Untersuchung; auf das Röntgenbild kann man am Ende schauen. Das Gespräch liefert wichtige Hinweise: Wie äußert sich der Schmerz, welche Schmerzmittel werden genommen, gibt es Probleme beim Laufen? Ein klassisches Zeichen für Arthrose ist eine eingeschränkte Beweglichkeit der Gelenke. Eine fühlbare Schwellung der Gelenkkapsel gehört ebenfalls dazu, sie kann auf einen Gelenkerguss infolge übermäßiger Reizung hindeuten. Bei höhergradigen Arthrose-Stadien sind die Gelenke oft bereits steifer und die Bänder weniger elastisch. Das deutet auf Umbauvorgänge in Richtung Verknöcherung hin. Als Letztes kommt die Bildgebung, und da wünschen sich viele Patienten eine Kernspinuntersuchung. Die braucht es im ersten Schritt aber gar nicht. Mit einem klassischen Röntgenbild in Verbindung mit dem Patientengespräch und der ärztlichen Untersuchung können erfahrene Orthopädinnen und Orthopäden eine zuverlässige Ersteinschätzung vornehmen.
»Unseren jungen Kolleginnen und Kollegen vermitteln wir schon zu Beginn ihrer Facharztausbildung einen wichtigen Satz: ›Man operiert kein Röntgenbild‹«
Wie wird eine Arthrose behandelt? Unterscheidet sich das zwischen älteren und jüngeren Patienten?
Im ersten Schritt stellen die Mediziner fest, welcher Arthrose-Grad vorliegt; das ist sehr wichtig. Ganz grob wird das in die Grade 1 bis 4 unterteilt. Ist die Krankheit noch nicht so ausgeprägt, lässt sie sich oft konservativ behandeln, also ohne operativen Eingriff. Beispielsweise mittels Bewegungstherapie. Dazu gehört nicht nur verschriebene Krankengymnastik, sondern ebenso die Anleitung zu Eigenübungen, anfangs kontrolliert vom Physiotherapeuten. Auch Wärme- und Kältebehandlungen können helfen. Manche Patientinnen und Patienten berichten davon, dass es ihnen nach manueller Therapie oder Osteopathie besser geht, wenngleich diese Therapien natürlich nur Symptome lindern können. Entzündungshemmende Medikamente verringern die Gelenkschwellung und die Schmerzen; dadurch erreicht man phasenweise wieder mehr Beweglichkeit. Bei Nahrungsergänzungsmitteln, die angeblich helfen sollen, bin ich skeptisch. Das kann man allenfalls in einem frühen Stadium als Möglichkeit empfehlen, in späteren Stadien ist das wirkungslos. Immer wieder diskutiert werden Spritzen ins Gelenk – dass man also versucht, Wirkstoffe ins Gelenk zu injizieren und so die Symptome zu lindern.
Wie funktioniert das?
Ein Verfahren, das in Deutschland sehr häufig durchgeführt wird, ist das Spritzen von Hyaluronsäure in den Gelenkspalt. Hyaluronsäure ist eine Art Schmiermittel, das in der natürlichen Gelenkflüssigkeit vorkommt und entzündungshemmend wirken kann. Im August 2025 hat der medizinische Dienst der Krankenkassen eine Stellungnahme vorgelegt, laut der Hyaluronsäure-Injektionen bei Gelenksarthrose wirkungslos sind. Eine derartige schwarz-weiße Betrachtungsweise halte ich für schwierig. Denn diese Auswertungen beziehen sich auf Studien, die aus evidenzbasierter Sicht methodisch durchaus kritisch sind. Auch wenn ich solche Gelenkspritzen selbst nur sehr selten durchführe, kenne ich viele Berichte von Patienten, die von Hyaluronsäure-Injektionen bei niedergelassenen Kollegen profitiert haben, etwa weil sie einen Gelenkersatz damit hinausschieben konnten. Es gibt zudem Personen, die Herz- oder Nierenprobleme haben und deshalb die klassischen entzündungshemmenden, schmerzlindernden Medikamente wie Ibuprofen oder Diclofenac nur eingeschränkt nehmen dürfen. Auch hier können ins Gelenk eingebrachte Medikamente in einem frühen Stadium der Arthrose helfen. Eines ist dabei allerdings wichtig: Injektionen sollte man grundsätzlich nur bei niedrigen Arthrose-Graden durchführen und nicht mehr, wenn bereits ein Gelenkersatz geplant ist. Denn eine Spritze birgt immer die Gefahr, Bakterien von der Hautoberfläche ins Gelenk zu verschleppen – und wenn eine Gelenk-OP bevorsteht, könnte das den Erfolg gefährden.
Über Knorpelzelltransplantationen haben wir schon gesprochen. Gibt es noch andere Behandlungsverfahren, die darauf abzielen, Gelenkschäden zu reparieren?
Zumindest solche, die einen regenerativen Aspekt versprechen, beispielsweise die Behandlung mit thrombozytenreichem Plasma. Einige Studien haben hier positive Aspekte gezeigt, die Datenlage zur Wirksamkeit ist im Großen und Ganzen aber noch uneinheitlich. Eines der Hauptprobleme dieser Methode liegt sicherlich darin, dass sie die Zubereitung eines zellulären Blutprodukts erfordert – einen Herstellungsprozess, der großen Schwankungen unterliegt. In den letzten Jahren haben Mediziner auch Verfahren vorgestellt, um Stammzellen etwa aus dem Unterhautfettgewebe zu isolieren und ins Gelenk zu injizieren, was Knorpelschäden heilen soll. Hier werden zum Teil Versprechungen gemacht, die ich als marketinggetrieben empfinde und die sich derzeit wissenschaftlich nicht nachvollziehen lassen.
Bei einer Hüftgelenksarthrose verschleißt der Knorpel des Gelenkkopfes und der Gelenkpfanne. Der Prozess schreitet in Stadien voran, was hier an Modellen gezeigt ist (von rechts nach links fortschreitend; bläulich: Knorpel). Dabei bilden sich Knochenvorsprünge und Entzündungen im und um das Gelenk. Bei einer Gelenkersatz-OP wird der zerstörte Gelenkkopf mitsamt einem Teils des Schenkelhalses entfernt, der beschädigte Knorpel im Beckenbereich ausgefräst und dort eine künstliche Hüftpfanne eingesetzt (ganz links). In den Oberschenkelknochen setzen die Chirurgen einen künstlichen Hüftschaft mit Kopf (rosa). Dieser gleitet anschließend in der eingepflanzten Hüftpfanne.
Ab wann ist ein Gelenkersatz sinnvoll?
Wenn die Kombination aus Patientengespräch, ärztlicher Untersuchung und Bildgebung ein fortgeschrittenes Arthrose-Stadium zeigt und alle konservativen Therapiemöglichkeiten ausgeschöpft sind, kann eine Operation sinnvoll sein und dann auch zu neuer Lebensqualität verhelfen. Vor allem, wenn Patientinnen und Patienten über eine deutlich eingeschränkte Beweglichkeit berichten, über starke Belastungs-, Ruhe- und Nachtschmerzen, und regelmäßig Schmerzmittel einnehmen müssen, dann sollte man auch eine chirurgische Option prüfen. Es muss, beispielsweise bei der Kniearthrose, nicht immer ein Vollgelenkersatz sein, manchmal reicht auch ein Teilgelenkersatz.
Wie lange hält ein Kunstgelenk?
Nach heutigem Wissen 15 bis 20 Jahre, aber das sind Daten von Kunstgelenken, die wir vor 20 Jahren eingesetzt haben. Die Materialien und die Materialforschung haben seither relevante Fortschritte gemacht. Deshalb hoffe ich, dass sich, wenn wir irgendwann die Kunstgelenke von heute wechseln müssen, dieser Zeitraum verlängert haben wird. Schon heute wissen wir allerdings, dass die Präzision beim Ersteingriff entscheidend ist. Je genauer man ein Kunstgelenk einsetzt, desto länger ist seine Haltbarkeit. Wir haben beispielsweise in einer eigenen Untersuchung mit unserer Operationstechnik gezeigt, dass Knie-Endoprothesen im Durchschnitt länger halten, wenn die Operation mittels computerassistierter Technologie erfolgt.
»Je genauer man ein Kunstgelenk einsetzt, desto länger ist seine Haltbarkeit«
Sind neue Behandlungsansätze in Sicht, die in vielleicht 10 oder 20 Jahren einen Durchbruch bringen könnten?
Unter anderem wird darüber geforscht, wie sich Knorpelzellen mit mikrometergroßen Gerüsten zusammenbringen lassen, die im 3D-Druck erzeugt werden. Das könnte helfen, transplantierte Knorpelzellen erfolgreicher in geschädigte Bereiche der Knorpelschicht einzusetzen. Ein weiteres Forschungsthema lautet, wie man Knorpelschäden mit biologischen Mitteln heilen oder das betroffene Gewebe reaktivieren könnte. Ideal wären dabei krankheitsregulierende Medikamente, sogenannte Disease Modifying Drugs, die Arthrose eines Tages so beeinflussen könnten, dass die Erkrankung erst gar nicht zum Ausbruch kommt oder zumindest signifikant abgemildert wird. Sie könnten bei Betroffenen in einer frühen Arthrose-Phase den Knorpelstoffwechsel beeinflussen, um zu verhindern, dass sich Defekte in der Knorpelschicht ausbreiten. Das ist aber der Blick in die Zukunft. Aktuell zählt der Gelenkersatz bei Arthrose weiterhin zu den häufigsten Eingriffen an deutschen Krankenhäusern. Er ist auch einer der erfolgreichsten operativen Eingriffe der orthopädischen Chirurgie. Gleichwohl gilt es, die Indikation dafür genau zu stellen und alle Alternativen vorab auszuschöpfen. Dazu braucht es klinische Erfahrung, Expertenwissen und eine leitliniengerechte, evidenzbasierte Vorgehensweise. Der Eingriff selbst sollte in Zentren erfolgen, die derartige Operationen häufig durchführen und über Expertise und patientenindividuelle Operationstechniken verfügen. Denn wir wissen: Wenn die spezifische Anatomie der Patienten beim Einsetzen eines künstlichen Knie- oder Hüftgelenks nicht berücksichtigt wird, haben Betroffene nach dem Eingriff oftmals noch Probleme.
Wird Arthrose eines Tages heilbar sein oder immer eine chronische Erkrankung bleiben?
Natürlich wäre es großartig, wenn wir eines Tages das Geschehen im Körper so beeinflussen könnten, dass sich die Krankheit gar nicht erst entwickelt. Allerdings spielt dabei nicht nur der Knorpel eine Rolle, sondern auch das Drumherum, etwa die Gelenkachse, die Gelenkstellungen und das Bewegungsverhalten. Eine effektive Arthrose-Therapie muss immer den ganzen Patienten in Betracht ziehen, seine individuelle Kinematik, seine Anatomie, seine Biomechanik und einiges mehr. Deshalb glaube ich, dass wir als Orthopäden auch in Zukunft weiter gebraucht werden.
Wenn Sie inhaltliche Anmerkungen zu diesem Artikel haben, können Sie die Redaktion per E-Mail informieren. Wir lesen Ihre Zuschrift, bitten jedoch um Verständnis, dass wir nicht jede beantworten können.