Gedächtnis: Schlupfloch aus der Angst

Wer schon einmal von einem Hund gebissen wurde, weiß, wie schnell und hartnäckig Angst sich einprägt. Wissenschaftler fanden nun heraus: Rufen wir eine erlernte Angst ins Gedächtnis, ist die Kopplung mit der Furcht vorübergehend instabil - und lässt sich leichter löschen.
Gezielt ängstigten die Forscher um Thomas Ågren von der Universität Uppsala 22 Versuchspersonen, indem sie ihnen abwechselnd Bilder einer blauen oder einer roten Lampe zeigten und nach einem der Fotos einen unangenehmen Elektroschock versetzten. Am folgenden Tag mussten die Probanden noch einmal ran: Erneut sahen sie das nun negativ belegte Bild und gerieten daraufhin in Angst. Zehn Minuten darauf löschten die Wissenschaftler bei einem Teil der Testpersonen die Verknüpfung von Bild und Reaktion, indem sie mehrmals beide Fotos ohne Elektroschosck präsentierten. Die anderen Versuchspersonen kamen erst nach sechs Stunden in den Genuss der Angstlöschung.
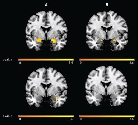
Einen weiteren Tag später sahen die Probanden die Fotos wieder, während ihre Hirnaktivität in einem Magnetresonanztomografen aufgezeichnet wurde. Probanden mit sechsstündiger Wartezeit am Vortag zeigten noch eine schwache Angst, wenn sie die "Schock-Lampe" sahen. Ihre Amygdala - die Emotionszentrale des Gehirns - war außerdem stärker aktiviert als bei den Versuchspersonen der Zehn-Minuten-Gruppe, die das Bild nun kalt ließ.
Fazit der Forscher: Wird eine Furchtreaktionen ins Gedächtnis gerufen, verarbeitet unser Gehirn die Erinnerung neu – und dann ist die Verknüpfung von Reiz und Angst leichter löschbar.

Wenn Sie inhaltliche Anmerkungen zu diesem Artikel haben, können Sie die Redaktion per E-Mail informieren. Wir lesen Ihre Zuschrift, bitten jedoch um Verständnis, dass wir nicht jede beantworten können.