Immunologie: Selbstmord fürs Gemeinwohl
Manche weißen Blutkörperchen lauern eingedrungenen Bakterien mit einem besonderen Trick auf: Bemerken sie den Invasoren, fischen sie nach ihm mit einem Netz aus aggressiven Chemikalien. Das bleibt nicht ohne Folgen für den Krankheitserreger – allerdings auch für den Fallensteller.

© Max-Planck-Institut für Infektionsbiologie (Ausschnitt)
© Max-Planck-Institut für Infektionsbiologie (Ausschnitt)
Bakterien ins Netz gegangen | Die farbige rasterelektronenmikroskopische Aufnahme zeigt stimulierte Neutrophile mit Netzen und darin gefangenen Shigellen (orange).
Vor einiger Zeit hatten Wissenschaftler um Arturo Zychlinsky vom Berliner Max-Planck-Institut für Infektionsbiologie auch bereits entdeckt, dass manche dieser Immunzellen – so genannte neutrophile Granulozyten – noch einen weiteren Trick auf Lager haben: Sie fangen Bakterien in netzartigen Strukturen ab, die sie aus eigenen Nukleinsäuren und Enzymen bilden, und töten sie damit ab. Völlig unklar war jedoch, auf welche Weise die Zellen diese doch eigentlich lebenswichtigen Inhaltsstoffe mobilisieren und herausschleudern können.
© Volker Brinkmann, Max-Planck-Institut für Infektionsbiologie (Ausschnitt)
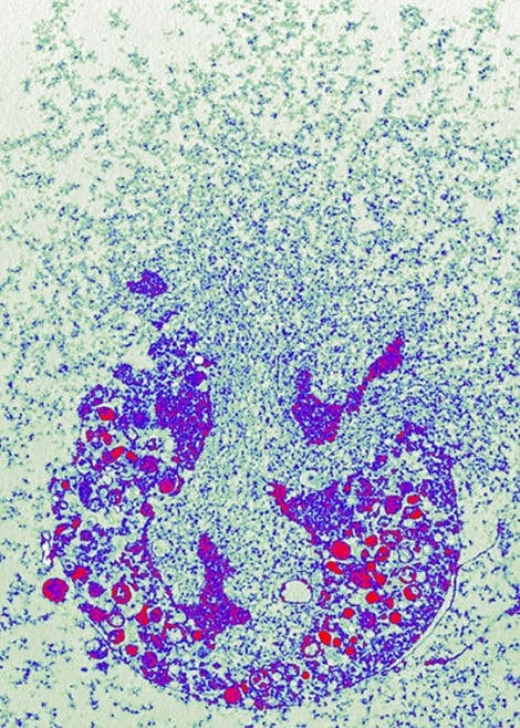
Granulozyt beim Ausstoßen des Netzes | Ein neutrophiler Granulozyt stirbt und stößt dabei NETs aus.
Am Ende zieht sich die Zelle noch einmal zusammen, bis ihre Membran an einer Stelle aufreißt. Die tödliche Mischung wird herauskatapultiert und entfaltet sich dort zu einem NET (Neutrophil Extracellular Trap) – jenem Netz, in dem sich das Bakterium oder der Pilz verfangen soll. Leider funktioniert diese Strategie nur ein einziges Mal: Hat der Granulozyt sein Innerstes nach Außen gekehrt, ist sein Schicksal besiegelt.
© Volker Brinkmann, Max-Planck-Institut für Infektionsbiologie (Ausschnitt)
Im Netz gefangenes Shigella-Bakterium | Shigella-Bakterien sind hier neutrophilen Granulozyten in ihre NETs gegangen. Rasterelektronenmikroskopische Aufnahme.
© Max-Planck-Gesellschaft
Die Max-Planck-Gesellschaft (MPG) ist eine vorwiegend von Bund und Ländern finanzierte Einrichtung der Grundlagenforschung. Sie betreibt rund achtzig Max-Planck-Institute.

Wenn Sie inhaltliche Anmerkungen zu diesem Artikel haben, können Sie die Redaktion per E-Mail informieren. Wir lesen Ihre Zuschrift, bitten jedoch um Verständnis, dass wir nicht jede beantworten können.