Direkt zum Inhalt

Lexikon der Biologie: Geschmacksknospen

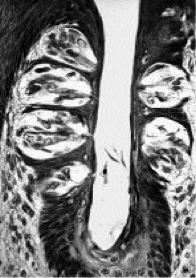
Geschmacksknospen, Schmeckbecher, Caliculi gustatorii, Sinnesorgane des Geschmackssinns, die in kleinen Erhebungen der Zunge ( vgl. Abb. 1 ) von Wirbeltieren – den Geschmackspapillen –, aber auch vereinzelt in der Schleimhaut des weichen Gaumens (Munddach) und des Rachens lokalisiert sind. Die tulpenförmigen Geschmacksknospen ( vgl. Abb. 2 ) öffnen sich zur Epitheloberfläche über einen Kanal, den Geschmacksporus. In der Geschmacksknospe lassen sich 3 Arten von Zellen unterscheiden: Stützzellen, Basalzellen und Geschmackssinneszellen. Die Sinneszellen besitzen an ihrem apikalen Ende feine Membranfortsätze (Mikrovillisaum), die in den Geschmacksporus hineinragen. chemische Sinne II .



Geschmacksknospen

Abb. 1: Schnitt durch eine menschliche Zunge, in dem ein Graben getroffen ist, der die Schleimhautfalten (Papillen) umgibt. Zu sehen sind insgesamt 5 Geschmacksknospen links und rechts des Grabens; an dessen Grund befinden sich verschiedene Drüsenzellen.



Geschmacksknospen

Abb. 2: 1 umwallte Papille, 2 einzelne Geschmacksknospe; beide auf der menschlichen Zunge

  • Die Autoren
Redaktion

Rolf Sauermost (Projektleiter)
Doris Freudig (Redakteurin)

Erweiterte Redaktion

Dr. Michael Bonk (Assistenz)
Dr. Andreas Sendtko (Assistenz)
Dr. Helmut Genaust (Etymologische Bearbeitung)
Dr. Claudia Gack (Bildtafelredaktion)

Grafik:

Hermann Bausch
Dr. Michael Bonk (EDV)
Wolfgang Hanns
Laura C. Hartmann (EDV)
Professor Dr. Rüdiger Hartmann (EDV)
Klaus Hemmann
Manfred Himmler
Rudolf Kempf (EDV)
Martin Lay (EDV)
Rolf Sauermost (EDV)
Dr. Richard Schmid
Hanns Strub
Melanie Waigand-Brauner (EDV)

CD-ROM-Ausgabe:

Doris Freudig (Redaktion und Konzeption)
Richard Zinken (Beratung)

Berater

Prof. Dr. Arno Bogenrieder (Botanik)
Prof. Dr. Klaus-Günter Collatz (Zoologie)
Prof. Dr. Hans Kössel (†) (Biochemie, Molekularbiologie)
Prof. Dr. Uwe Maier (Biochemie, Molekularbiologie)
Prof. Dr. Günther Osche (Zoologie)
Prof. Dr. Georg Schön (Mikrobiologie)

Autoren

[abc] [def] [ghi] [jkl] [mno] [pqr] [stuv] [wxyz]

Anhäuser, Marcus (M.A.)
Arnheim, Dr. Katharina (K.A.)
Becker-Follmann, Dr. Johannes (J.B.-F.)
Bensel, Dr. Joachim (J.Be.)
Bergfeld (†), Dr. Rainer (R.B.)
Berthold, Prof. Dr. Peter (P.B.)
Bogenrieder, Prof. Dr. Arno (A.B.)
Bohrmann, PD Dr. Johannes (J.B.)
Bonk, Dr. Michael (M.B.)
Born, Prof. Dr. Jan (J.Bo.)
Braun, Andreas (A.Br.)
Bürger, Prof. Dr. Renate (R.Bü.)
Cassada, Dr. Randall (R.C.)
Collatz, Prof. Dr. Klaus-Günter (K.-G.C.)
Culmsee, Dr. Carsten (C.C.)
Drews, Dr. Martina (M.D.)
Drossé, Inke (I.D.)
Duell-Pfaff, Dr. Nixe (N.D.)
Duffner, Dr. Klaus (K.D.)
Eibl-Eibesfeldt, Prof. Dr. Irenäus (I.E.)
Eisenhaber, Dr. Frank (F.E.)
Emschermann, Dr. Peter (P.E.)
Engelbrecht, Beate (B.E.)
Engeser, PD Dr. Theo (T.E.)
Eurich, Dr. Christian (C.E.)
Ewig, Bettina (B.Ew.)
Fässler, Dr. Peter (P.F.)
Fehrenbach, Dr. Heinz (H.F.)
Fix, Dr. Michael (M.F.)
Flemming, Alexandra (A.F.)
Franzen, Dr. Jens Lorenz (J.F.)
Freudig, Doris (D.F.)
Gack, Dr. Claudia (C.G.)
Gallenmüller, Dr. Friederike (F.G.)
Ganter, Sabine (S.G.)
Gärtig, Susanne (S.Gä.)
Gärtner, PD Dr. Wolfgang (W.G.)
Gassen, Prof. Dr. Hans-Günter
Geinitz, Christian (Ch.G.)
Genth, Dr. Harald (H.G.)
Gläser, Dr. Birgitta (B.G.)
Götting, Prof. Dr. Klaus-Jürgen (K.-J.G.)
Grasser, Dr. habil. Klaus (K.G.)
Grieß, Dr. Eike (E.G.)
Grüttner, Dr. Astrid (A.G.)
Häbe, Martina (M.Hä.)
Haken, Prof. Dr. Hermann
Hanser, Dr. Hartwig (H.Ha.)
Harder, Deane Lee (D.Ha.)
Hartmann, Prof. Dr. Rüdiger (R.H.)
Hassenstein, Prof. Dr. Bernhard (B.H.)
Haug-Schnabel, PD Dr. Gabriele (G.H.-S.)
Hemminger, Dr. habil. Hansjörg (H.H.)
Herbstritt, Dr. Lydia (L.H.)
Hobom, Dr. Barbara (B.Ho.)
Hoffrichter, Dr. Odwin (O.H.)
Hohl, Dr. Michael (M.H.)
Hoos, Katrin (K.H.)
Horn, Dagmar (D.H.)
Horn, Prof. Dr. Eberhard (E.H.)
Huber, Christoph (Ch.H.)
Huber, Dr. Gerhard (G.H.)
Huber, Prof. Dr. Robert
Hug, Dr. Agnes M. (A.H.)
Illerhaus, Dr. Jürgen (J.I.)
Illes, Prof. Dr. Peter (P.I.)
Illing, Prof. Dr. Robert-Benjamin (R.B.I.)
Irmer, Juliette (J.Ir.)
Jaekel, Dr. Karsten
Jäger, Dr. Rudolf
Jahn, Dr. Ilse
Jahn, Prof. Dr. Theo (T.J.)
Jendritzky, Prof. Dr. Gerd (G.J.)
Jendrsczok, Dr. Christine (Ch.J.)
Jerecic, Renate (R.J.)
Jordan, Dr. Elke (E.J.)
Just, Dr. Lothar (L.J.)
Just, Margit (M.J.)
Kary, Michael (M.K.)
Kaspar, Dr. Robert
Kattmann, Prof. Dr. Ulrich (U.K.)
Kindt, Silvan (S.Ki.)
Kirchner, Prof. Dr. Wolfgang (W.K.)
Kirkilionis, Dr. Evelin (E.K.)
Kislinger, Claudia (C.K.)
Klein-Hollerbach, Dr. Richard (R.K.)
Klonk, Dr. Sabine (S.Kl.)
Kluge, Prof. Dr. Friedrich (F.K.)
König, Dr. Susanne (S.Kö.)
Körner, Dr. Helge (H.Kör.)
Kössel (†), Prof. Dr. Hans (H.K.)
Kühnle, Ralph (R.Kü.)
Kuss (†), Prof. Dr. Siegfried (S.K.)
Kyrieleis, Armin (A.K.)
Lahrtz, Stephanie (S.L.)
Lamparski, Prof. Dr. Franz (F.L.)
Landgraf, Dr. Uta (U.L.)
Lange, Prof. Dr. Herbert (H.L.)
Lange, Jörg
Langer, Dr. Bernd (B.La.)
Larbolette, Dr. Oliver (O.L.)
Laurien-Kehnen, Dr. Claudia (C.L.)
Lay, Dr. Martin (M.L.)
Lechner-Ssymank, Brigitte (B.Le.)
Leinberger, Annette (A.L.)
Leven, Prof. Franz-Josef (F.J.L.)
Liedvogel, Prof. Dr. Bodo (B.L.)
Littke, Dr. habil. Walter (W.L.)
Loher, Prof. Dr. Werner (W.Lo.)
Lützenkirchen, Dr. Günter (G.L.)
Mack, Dr. Frank (F.M.)
Mahner, Dr. Martin (M.Ma.)
Maier, PD Dr. Rainer (R.M.)
Maier, Prof. Dr. Uwe (U.M.)
Marksitzer, Dr. René (R.Ma.)
Markus, Prof. Dr. Mario (M.M.)
Martin, Dr. Stefan (S.Ma.)
Medicus, Dr. Gerhard (G.M.)
Mehler, Ludwig (L.M.)
Mehraein, Dr. Susan (S.Me.)
Meier, Kirstin (K.M.)
Meineke, Sigrid (S.M.)
Mohr, Prof. Dr. Hans (H.M.)
Mosbrugger, Prof. Dr. Volker (V.M.)
Mühlhäusler, Andrea (A.M.)
Müller, Dr. Ralph (R.Mü.)
Müller, Ulrich (U.Mü.)
Müller, Wolfgang Harry (W.H.M.)
Murmann-Kristen, Dr. Luise (L.Mu.)
Mutke, Jens (J.M.)
Narberhaus, Ingo (I.N.)
Neub, Dr. Martin (M.N.)
Neumann, Dr. Harald (H.Ne.)
Neumann, Prof. Dr. Herbert (H.N.)
Nick, PD Dr. Peter (P.N.)
Nörenberg, Prof. Dr. Wolfgang (W.N.)
Nübler-Jung, Prof. Dr. Katharina (K.N.)
Oehler, Prof. Dr. Jochen (J.Oe.)
Oelze, Prof. Dr. Jürgen (J.O.)
Olenik, Dr. Claudia (C.O.)
Osche, Prof. Dr. Günther (G.O.)
Panesar, Arne Raj
Panholzer, Bärbel (B.P.)
Paul, PD Dr. Andreas (A.P.)
Paulus, Prof. Dr. Hannes (H.P.)
Pfaff, Dr. Winfried (W.P.)
Pickenhain, Prof. Dr. Lothar (L.P.)
Probst, Dr. Oliver (O.P.)
Ramstetter, Dr. Elisabeth (E.R.)
Ravati, Alexander (A.R.)
Rehfeld, Dr. Klaus (K.Re.)
Reiner, Dr. Susann Annette (S.R.)
Riede, Dr. habil. Klaus (K.R.)
Riegraf, Dr. Wolfgang (W.R.)
Riemann, Prof. Dr. Dieter
Roth, Prof. Dr. Gerhard
Rübsamen-Waigmann, Prof. Dr. Helga
Sachße (†), Dr. Hanns (H.S.)
Sander, Prof. Dr. Klaus (K.S.)
Sauer, Prof. Dr. Peter (P.S.)
Sauermost, Elisabeth (E.Sa.)
Sauermost, Rolf (R.S.)
Schaller, Prof. Dr. Friedrich
Schaub, Prof. Dr. Günter A. (G.Sb.)
Schickinger, Dr. Jürgen (J.S.)
Schindler, Dr. Franz (F.S.)
Schindler, Dr. Thomas (T.S.)
Schley, Yvonne (Y.S.)
Schling-Brodersen, Dr. Uschi
Schmeller, Dr. Dirk (D.S.)
Schmitt, Prof. Dr. Michael (M.S.)
Schmuck, Dr. Thomas (T.Schm.)
Scholtyssek, Christine (Ch.S.)
Schön, Prof. Dr. Georg (G.S.)
Schönwiese, Prof. Dr. Christian-Dietrich (C.-D.S.)
Schwarz, PD Dr. Elisabeth (E.S.)
Seibt, Dr. Uta
Sendtko, Dr. Andreas (A.Se.)
Sitte, Prof. Dr. Peter
Spatz, Prof. Dr. Hanns-Christof (H.-C.S.)
Speck, Prof. Dr. Thomas (T.Sp.)
Ssymank, Dr. Axel (A.S.)
Starck, PD Dr. Matthias (M.St.)
Steffny, Herbert (H.St.)
Sternberg, Dr. Klaus (K.St.)
Stöckli, Dr. Esther (E.St.)
Streit, Prof. Dr. Bruno (B.St.)
Strittmatter, PD Dr. Günter (G.St.)
Stürzel, Dr. Frank (F.St.)
Sudhaus, Prof. Dr. Walter (W.S.)
Tewes, Prof. Dr. Uwe
Theopold, Dr. Ulrich (U.T.)
Uhl, Dr. Gabriele (G.U.)
Unsicker, Prof. Dr. Klaus (K.U.)
Vaas, Rüdiger (R.V.)
Vogt, Prof. Dr. Joachim (J.V.)
Vollmer, Prof. Dr. Dr. Gerhard (G.V.)
Wagner, Prof. Dr. Edgar (E.W.)
Wagner, Eva-Maria
Wagner, Thomas (T.W.)
Wandtner, Dr. Reinhard (R.Wa.)
Warnke-Grüttner, Dr. Raimund (R.W.)
Weber, Dr. Manfred (M.W.)
Wegener, Dr. Dorothee (D.W.)
Weth, Dr. Robert (R.We.)
Weyand, Anne (A.W.)
Weygoldt, Prof. Dr. Peter (P.W.)
Wicht, PD Dr. Helmut (H.Wi.)
Wickler, Prof. Dr. Wolfgang
Wild, Dr. Rupert (R.Wi.)
Wilker, Lars (L.W.)
Wilmanns, Prof. Dr. Otti
Wilps, Dr. Hans (H.W.)
Winkler-Oswatitsch, Dr. Ruthild (R.W.-O.)
Wirth, Dr. Ulrich (U.W.)
Wirth, Prof. Dr. Volkmar (V.W.)
Wolf, Dr. Matthias (M.Wo.)
Wuketits, Prof. Dr. Franz M. (F.W.)
Wülker, Prof. Dr. Wolfgang (W.W.)
Zähringer, Dr. Harald (H.Z.)
Zeltz, Dr. Patric (P.Z.)
Ziegler, Prof. Dr. Hubert
Ziegler, Dr. Reinhard (R.Z.)
Zimmermann, Prof. Dr. Manfred
Zissler, Dr. Dieter (D.Z.)
Zöller, Thomas (T.Z.)
Zompro, Dr. Oliver (O.Z.)

Schreiben Sie uns!

Wenn Sie inhaltliche Anmerkungen zu diesem Artikel haben, können Sie die Redaktion per E-Mail informieren. Wir lesen Ihre Zuschrift, bitten jedoch um Verständnis, dass wir nicht jede beantworten können.

Partnerinhalte

Bitte erlauben Sie Javascript, um die volle Funktionalität von Spektrum.de zu erhalten.