Lexikon der Neurowissenschaft: Bildgebung in der Neurowissenschaft
Essay
Thomas Münte
Bildgebung in der Neurowissenschaft
In den letzten 15 Jahren wurden sowohl die klinische Medizin als auch die medizinischen Grundlagenwissenschaften durch die rasche Entwicklung von bildgebenden Verfahren revolutioniert. Diese Verfahren haben wesentlichen Anteil am raschen Wachstum der kognitiven Neurowissenschaft. Dieser Wissenschaftszweig kombiniert experimentelle Strategien der kognitiven Psychologie mit verschiedenen experimentellen Techniken zum Studium der Frage, welche Hirnprozesse mentalen Aktivitäten (wie Gedächtnis, Aufmerksamkeit und Sprache) zugrundeliegen. In diesem Zusammenhang verdienen hauptsächlich funktionelle bildgebende Verfahren wie die Positronenemissionstomographie (PET) mit radioaktiv markiertem Sauerstoff zur Blutflußmessung und die funktionelle Kernspinresonanztomographie (fMRI) Erwähnung. Weiterhin haben bildgebende Verfahren großen Anteil an der Aufklärung pathophysiologischer Phänomene bei neurologischen und psychiatrischen Erkrankungen. Diese beiden Gebiete sollen im folgenden exemplarisch aufgegriffen werden.
Funktionelle Bildgebung in der kognitiven Neurowissenschaft
Den PET- und fMRI-Messungen bei kognitiven Aktivitäten liegt die Tatsache zugrunde, daß jede neuronale Aktivität zu Veränderungen im lokalen Blutfluß führt. Wird radioaktiv mit 15O markiertes Wasser verabreicht, so sind mit der PET-Kamera dort mehr Aktivitäten nachweisbar, wo ein höherer Blutfluß herrscht. Indirekt kann somit auf eine erhöhte neuronale Aktivität geschlossen werden. – Die aufgabenabhängige Steigerung im Blutfluß ist durch proportional viel geringere Steigerungen des Sauerstoffverbrauchs gekennzeichnet, so daß es netto zu einem Anstieg des Sauerstoffgehalts in jenem Blut kommt, welches aktive Hirnregionen durchfließt. Da das Signal, aus dem kernspintomographische Bilder konstruiert werden, gegenüber solchen Sauerstoffänderungen außerordentlich empfindlich ist, können solche Änderungen des Sauerstoffgehaltes für die Bildgebung mittels fMRI genutzt werden. Man spricht dann vom sogenannten BOLD-Kontrast (Abk. für blood oxygen level dependent).
Positronenemissionstomographie (PET) und Subtraktionsmethode
In den 1980er und frühen 1990er Jahren sind zahlreiche PET-Untersuchungen zu kognitiven Prozessen bei Gesunden und bei neurologischen Patienten durchgeführt worden. Wesentlichen Anteil am Erfolg der PET-Anwendungen in der kognitiven Neurowissenschaft hatte die Entwicklung der Subtraktionsmethode. Um die einem bestimmten kognitiven Prozeß zuzuordnende neuronale Aktivität zu isolieren, werden mehrere Versuchsbedingungen durchgeführt, die sich nur in diesem einen kognitiven Prozeß unterscheiden. Will man z.B. den Prozeß der Wortgenerierung isolieren, so läßt man in einer Bedingung die Probanden Wörter, die sie auf einem Bildschirm sehen, laut lesen, in einer zweiten Bedingung läßt man zu den gesehenen Wörtern Synonyme generieren und aussprechen (beteiligte Prozesse siehe Tab. ). Die für beide Aufgaben erhaltenen PET-Bilder kann man voneinander abziehen und erhält im Differenzbild nun diejenige Aktivität, die spezifisch mit dem Generieren von Wörtern assoziiert ist ( siehe Abb. 1 ). Die Subtraktionsmethode ist kritisch darauf angewiesen, daß die Kontrollaufgabe sich wirklich nur in einem einzigen Aspekt von der experimentellen Aufgabe unterscheidet. Im vorliegenden Beispiel mag die Kontrollaufgabe aber auch weniger schwierig und interessant gewesen sein, was zu Unterschieden im unspezifischen Arousal-Level der Probanden führen könnte. Trotz dieser prinzipiellen Schwierigkeit liegt die Subtraktionsmethode den meisten Arbeiten zur funktionellen Bildgebung zugrunde.
Eine weitere Möglichkeit, sich der Subtraktionsstrategie zu bedienen, ist die Präsentation von unterschiedlich schwierigen Varianten derselben Aufgabe. So wurde z.B. in einer Studie das menschliche Arbeitsgedächtnis überprüft ( siehe Abb. 2 ). Hierzu wurden auf einem Videomonitor sukzessive Buchstaben präsentiert. Der Proband hatte dabei die Aufgabe, zu entscheiden, ob der jeweilige Buchstabe mit dem unmittelbar zuvor gesehenen übereinstimmte oder – in jeweils anderen Versuchsdurchläufen – mit dem 1, 2, oder 3 Positionen zuvor präsentierten Buchstaben. Als Kontrollaufgabe wurden die gleichen Stimuli gezeigt, wobei nur auf einen vorher definierten Buchstaben geantwortet werden sollte. Die PET-Aktivierungen wurden einem 3D-Kernspintomogramm überlagert und zeigten, daß zahlreiche Hirnareale im präfrontalen und frontalen Cortex, im parietalen Cortex und im Kleinhirn an der Durchführung der Arbeitsgedächtnisaufgabe beteiligt sind. Darüber hinaus ließ sich feststellen, daß die Aktivierungen mit der Schwere der Aufgabe deutlich zunehmen.
Studien der funktionellen Bildgebung haben eine schlechte zeitliche Auflösung. Dieser Nachteil läßt sich durch die kombinierte Anwendung von bildgebenden und elektrophysiologischen Verfahren teilweise ausgleichen. Eine Studie zur visuellen Aufmerksamkeit kann hier als Beispiel dienen ( siehe Abb. 3 ). Hier wurden in schneller Folge bilaterale Reize (bestehend aus zwei Symbolen rechts und zwei Symbolen links eines vom Probanden zu fixierenden Punktes) präsentiert. Die Probanden erhielten die Aufgabe, in einem Versuchslauf auf eine der beiden Stimulushälften zu achten und gelegentlich auftretende Zielreize (das Übereinstimmen der beiden Symbole) mit einem Knopfdruck zu beantworten. In diesem Versuchsaufbau war es somit möglich, durch die Subtraktion der Versuchsdurchläufe "Aufmerksamkeit rechts" und "Aufmerksamkeit links" auch Bilder zu erhalten, die unabhängig von globalen Aufgabenfaktoren waren, und nur die Richtung der Aufmerksamkeit anzeigten. Die PET-Aktivierung umfaßte vor allem den Gyrus fusiformis an der Unterseite des Schläfenlappens. Die zusätzlich registrierten ereigniskorrelierten Potentiale zeigten etwa ab 80 ms einen Effekt der räumlichen Aufmerksamkeit, der sich im temporo-occipitalen Bereich lokalisieren ließ und mit Hilfe von Dipolmodellen ebenfalls dem hinteren Anteil des Gyrus fusiformis zugeordnet wurde. Insofern ließ sich durch die Kombination der PET-Methode, die eine zeitliche Auflösung von etwa 40 Sekunden hat, und der Methode der ereigniskorrelierten Hirnpotentiale eine raum-zeitliche Kartographie der menschlichen Aufmerksamkeit durchführen.
Funktionelle Kernspinresonanztomographie (fMRI)
Ein wesentlicher Nachteil der PET-Methode für die kognitive Neurowissenschaft ist die Tatsache, daß zur Erstellung der Bilder radioaktiv markierte Substanzen gegeben werden müssen. Die Strahlendosis limitiert dabei die Anzahl der möglichen Versuchsdurchgänge und somit die Komplexität des Versuchsdesigns. Derartige Belastungen sind bei der funktionellen Kernspinresonanztomographie (fMRI) nicht zu berücksichtigen. Darüber hinaus ist die zeitliche und räumliche Auflösung weit höher als die des PET. Mit Hilfe der Technik des ereigniskorrelierten fMRI läßt sich die zeitliche Auflösung bis auf wenige hundert Millisekunden verbessern. Hierzu ist es notwendig, die Stimuli der verschiedenen experimentellen Bedingungen in zufälliger Reihenfolge darzubieten. Die somit entstehende komplexe BOLD-Antwort (BOLD-MRI) muß mit mathematischen Verfahren den einzelnen Stimulusklassen zugeordnet werden. Es sind somit erstmals Experimente möglich, die sich weitgehend an Standardprozeduren der experimentellen Psychologie halten können.
Die räumliche Auflösung des fMRI beträgt wenige Millimeter, so daß hiermit Untersuchungen zur retinotopischen Kartographie des visuellen Cortex möglich sind ( siehe Abb. 4 ). Für diese Bilder werden nacheinander Stimuli mit konzentrisch angeordneten Schachbrettmustern unterschiedlicher Exzentrizität dargestellt. Da die einzelnen corticalen Areale, die mit dem Sehen befaßt sind (visueller Cortex), die Netzhaut regelhaft abbilden, lassen sich so die Grenzen der primären und sekundären Sehzentren beim Menschen darstellen.
Bildgebung bei neurologischen Erkrankungen
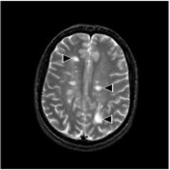
Mitte der 1970er Jahre wurde in größerem Umfang die Computertomographie (CT) in die klinische Diagnostik eingeführt. Hiermit war es erstmals möglich, das Gehirn des Menschen bildgebend darzustellen. Die Tatsache, daß die Computertomographie Röntgendichteunterschiede abbildet, hat allerdings zur Folge, daß sich Krankheiten, die nicht mit solchen Unterschieden einhergehen, im CT nicht abbilden. Teilweise können hier durch die Gabe von Kontrastmitteln, die sich beispielsweise in Tumoren anreichern, Verbesserungen erzielt werden. Die etwa 10 Jahre später erfolgte Einführung der Kernspinresonanztomographie brachte wesentliche Verbesserungen, da hier für die Kontrastgebung der Wasseranteil in einem Gewebe eine wesentliche Rolle spielt. So lassen sich mit der Kernspinresonanztomographie z.B. die Entzündungsherde der multiplen Sklerose sichtbar machen ( siehe Abb. 5 ), die sich dem Nachweis mit der CT entziehen. Es ist so möglich, unter anderem Tumoren, Blutungen, Durchblutungsstörungen sichtbar zu machen. Mit der strukturellen Kernspinresonanztomographie läßt sich die Hirnanatomie in hervorragender Weise sichtbar machen. So läßt sich beispielsweise zeigen, daß bei Chorea Huntington der Nucleus caudatus (Caudatum), ein Teil der sogenannten Basalganglien, atrophiert ist. Ein vergleichbarer Befund fehlt bei der Alzheimer-Krankheit ( siehe Abb. 6 ). Die Kernspinresonanztomographie ist derzeit noch in ständiger Entwicklung. Neuere Verfahren lassen die Perfusion und die Diffusion von Wasseratomen nachweisen und eignen sich daher zur Frühdiagnostik von Hirninfarkten.
Eine Reihe von neurologischen Erkrankungen geht mit Störungen auf der Ebene der Neurotransmitter einher. Durch radioaktiv markierte Liganden lassen sich die prä- und postsynaptischen Rezeptoren mit Hilfe der PET- und der SPECT-Methodik nachweisen. Dem Probanden werden radioaktiv markierte Liganden verabreicht, die an die entsprechenden Rezeptoren binden. So läßt sich z.B. mit L-18F-Dopa die präsynaptische Funktion bei der Parkinson-Krankheit darstellen. L-18F-Dopa wird wie normales L-Dopa in die Nervenzellen aufgenommen und kann so die Speicherkapazität für Dopamin darstellen ( siehe Abb. 7 ). Darüber hinaus lassen sich zahlreiche andere Liganden für das Studium spezieller Rezeptoren herstellen. So bindet 11C-Raclopride speziell an den D2-Dopamin-Rezeptor und stellt somit die postsynaptischen Verhältnisse bei der Parkinson-Krankheit dar.
Ausblick
Auf verschiedenen Gebieten sind in den nächsten Jahren neue Entwicklungen in der Bildgebung des Nervensystems zu erwarten:
- Die Möglichkeit, Neurotransmittersysteme mit Hilfe von radioaktiv markierten Liganden im PET darzustellen, wird durch die Entwicklung neuer Substanzen für weitere Transmitter und die für diese charakteristischen Erkrankungen (z.B. Acetylcholin -> Alzheimer-Krankheit, Glutamat -> amyotrophe Lateralsklerose) erweitert werden.
- Mit Hilfe neuer Verfahren der Kernspintomographie (z.B. Diffusion Tensor Imaging) wird es möglich sein, die Degeneration und Regeneration von Nervenfaserbündeln (Trakten) beim Lebenden darzustellen (sogenannte MR-Tractography).
- Die Entwicklung neuer, schneller Sequenzen für die funktionelle Bildgebung mit dem event-related fMRI wird es möglich machen, die zeitliche Auflösung der funktionellen Bildgebung weiter zu erhöhen und realistische Experimente zur Aufklärung kognitiver Prozesse durchzuführen.
- Die Möglichkeiten der Integration verschiedener zeitlicher und räumlicher Untersuchungsverfahren (z.B. ereigniskorrelierte Hirnpotentiale mit funktioneller Kernspinresonanztomographie) wird ein vollständigeres Bild der zeitlich-räumlichen Organisation der cerebralen Informationsverarbeitung liefern.
- Die Verbesserung der Kernspinresonanzspektroskopie wird es ermöglichen, Stoffwechselprodukte und -prozesse beim Lebenden exakt zu messen und die Ergebnisse in der medizinischen Diagnostik zu verwenden.
- Durch Einführung von Substanzen mit paramagnetischen Eigenschaften kann des weiteren die Kernspinresonanztomographie zur Untersuchung von ganzen Funktionssystemen im Gehirn herangezogen werden.
Lit.:Carter, R., Frith, C.: Mapping the Mind. Berkeley 1999. Dilcher, L.: Kleines Handbuch zur Kernspintomographie. Bergisch-Gladbach 1997. Ewen, K.: Moderne Bildgebung. Stuttgart 1998. Frackowiak, R.S.J., Friston, K.J., Frith, C., Mazziotta, J.C. (Hrsg.): Human Brain Function. Oxford 1997. Möller, T.B., Reif, E.: Taschenatlas der Schnittbildanatomie, Bd.1. Stuttgart 1997. Reimer, P., Parizel, P.M., Stichnoth, F.-A. (Hrsg.): Clinical MR Imaging. Berlin, Heidelberg, New York 1999. Schneider, F., Grodd, W., Machulla, H.J. : Untersuchung psychischer Funktionen durch funktionelle Bildgebung mit Positronenemissionstomographie und Kernspintomographie. Der Nervenarzt, 67:721-729, 1996.
Bildgebung in der Neurowissenschaft
einige der bei lautem Lesen und Synonymangabe beteiligten Prozesse
| |||
| lesen | + | + | |
| verstehen | + | + | |
| sprechen | + | + | |
| generieren | – | + |

Bildgebung in der Neurowissenschaft
Abb. 1: Illustration des Subtraktionsansatzes in der funktionellen Bildgebung (nach Daten von Raichle). Ziel dieses Experimentes war die Isolierung von Hirnarealen, die an der Wortproduktion beteiligt sind. In einem hierarchisch aufgebauten Versuchsdesign werden die PET-Aktivierungsbilder, die in verschiedenen Versuchsbedingungen gewonnen wurden, voneinander abgezogen und so die jeweils verantwortlichen Hirnareale identifiziert. Der Vergleich "offene Augen – geschlossene Augen" zeigt die primären visuellen Areale, der Vergleich "Betrachten – offene Augen" die Areale, die für die Verarbeitung der visuellen Wortform zuständig sind. Der Vergleich "lautes Lesen – Betrachten" zeigt die für die Sprachmotorik zuständigen Felder, der letzte Vergleich schließlich die für die Wortgenerierung verantwortlichen Regionen im linken Frontal- und Temporallappen.

Bildgebung in der Neurowissenschaft
Abb. 2: PET-Experiment zum verbalen Arbeitsgedächtnis (nach Daten von Smith und Jonides). Die Probanden mußten in verschiedenen Durchgängen eine Ziffer auf einem Bildschirm vergleichen mit der unmittelbar vorhergehenden (unten), mit der eine Position zuvor (-1) gesehenen (zweite von unten), bis hin zum Vergleich mit der Position -3 (ganz oben). Es zeigt sich, daß ein Netzwerk von frontalen und parietalen Hirnregionen an dieser Aufgabe beteiligt ist.

Bildgebung in der Neurowissenschaft
Abb. 3: Integration von funktioneller Bildgebung (PET) und ereigniskorrelierten Potentialen (ERP) in einem visuellen räumlichen Aufmerksamkeitsexperiment (nach Daten von Heinze et al.). Die Aufgabe der Probanden war es, entweder im linken oder im rechten Gesichtsfeld Reize zu identifizieren. Es fand sich (oben links) eine Aktivierung des contralateralen Gyrus fusiformis (Unterseite des Temporallappens) im PET, sowie eine temporal-occipitale aufmerksamkeitsabhängige Veränderung im ERP (oben rechts). Der untere Teil der Abbildung zeigt, daß PET (rot) und der berechnete Dipol für das ERP (blau) in den Gyrus fusiformis lokalisiert werden können.

Bildgebung in der Neurowissenschaft
Abb. 4: Nachweis der retinotopen Organisation der Sehareale (nach Daten von Tootell et al.).
A auf das 3-dimensionale Strukturkernspintomogramm projizierte farbcodierte Aktivierungen, die durch Schachbrettmuster unterschiedlicher Exzentrizität gewonnen wurden.
B Projektion auf die inflatierte Cortexoberfläche. V1, V2, V3, V3A, V4V, VP: Areale des visuellen Cortex
Abb. 6: Kernspinresonanztomographien bei einem Patienten mit Alzheimer-Krankheit und einem Patienten mit Chorea Huntington. Bei letzterem läßt sich eine Atrophie des (im Bild dunklen) Nucleus caudatus (Pfeil) als Grundlage der Erkrankung nachweisen.

Bildgebung in der Neurowissenschaft
Abb. 7: Befund bei einem normalen Probanden mit einer guten Anreicherung von L-Dopa im Corpus striatum, verglichen mit dem eines Parkinson-Patienten, der keine Anreicherung zeigt.


Wenn Sie inhaltliche Anmerkungen zu diesem Artikel haben, können Sie die Redaktion per E-Mail informieren. Wir lesen Ihre Zuschrift, bitten jedoch um Verständnis, dass wir nicht jede beantworten können.